网站首页  词典首页


请输入您要查询的字词:

 

字词 IgA肾病
类别 中英文字词句释义及详细解析
释义

IgA肾病


一、概述

原发性IgA肾病(IgA nephropathy,IgAN)是世界上尤其亚洲地区最常见的肾小球肾炎,是引起终末期肾衰竭的重要原因之一。IgAN作为一免疫病理诊断是在免疫荧光技术用于肾活检后,于1968年首次为Berger等所描述,故也称之为Berger病。该病是IgA或以IgA为主的免疫球蛋白及补体成分在肾小球系膜区呈弥漫颗粒状或团块状沉积,有时伴有毛细血管袢沉积,所引起一系列临床及病理改变。其临床表现多样,病情变化轻重不一,在确诊后5~25年内有20%~40%的患者发展为终末期肾脏疾病。

二、流行病学

世界各地报道的IgA肾病发病率有很大差别,似以西太平洋地区为最高。日本报道IgA肾病发病率占活检证实的肾小球疾病的50%,而欧洲约为10%~30%,美国则不到2%。我国各地报道也不尽相同,在20%~30%左右。这种差别显然也受到各地肾活检指征和尿液普查的影响,例如英国一般报道在5%左右,然而苏格兰地区一组无症状血尿活检中则达到37%。IgA肾病发病以男性多见,男女比例约为2∶1。种族间存在着差别,例如美国新墨西哥地区印第安人中占35%,黑人中却十分罕见。虽然发现黑人中IgA肾病明显低于白人,但未能证明这与IgA肾病发病率低有肯定关系。自1978年以来,有一些报道提示IgA肾病有家族中高发倾向,提示至少在某些IgA肾病患者中存在着基因的易感性。

三、分类

1.原发性系膜IgA沉积 IgA肾病。

2.继发性系膜IgA沉积

(1)结缔组织疾病:狼疮性肾炎、强直性脊柱炎、类风湿性关节炎、混合性结缔组织疾病、感染后关节炎、重症肌无力、白塞病。

(2)肠道疾病:口炎性腹泻、溃疡结肠炎、局灶性肠炎、克隆病。

(3)皮肤病:疱疹性皮炎、牛皮癣、结节性红斑。

(4)肿瘤性疾病:支气管肺癌、喉癌、IgA免疫球蛋白病、蕈样真菌病、非何杰金淋巴瘤、肾细胞癌。

(5)血液系统疾病:周期性中性粒细胞减少症、混合性冷球蛋白血症、免疫性血小板减少症、红细胞增多症、良性单克隆球蛋白病。

(6)肝脏疾病:肝硬化、非肝硬化性门脉高压、肝移植、白介素治疗肝肿瘤后。

(7)感染性疾病:急性链球菌感染后、EB病毒感染、HIV感染、骨髓炎、麻风病、结核病。

(8)其他:家族性地中海热、特发性肺含铁血黄素沉积、腹膜后纤维化、淀粉样变、结节性多动脉炎。

四、病理改变

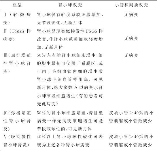
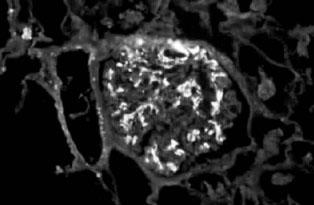
IgA肾病的典型病理表现为:在光镜下常见系膜细胞增生、基质增多(图2—10),常呈局灶节段性分布。IgA肾病轻微者则只有轻微系膜增生,亦可呈弥漫增生(常有局灶节段性加重)。约20%病例可出现新月体,通常不超过肾小球的30%。IgA肾病进行性病例可见球囊基底膜变形、裂解;肾小球基底膜“溶解”。免疫荧光镜下,可看见在肾小球系膜中呈弥漫分布的颗粒或团块状IgA沉积物(主要是IgA1(图2—11)。60%~90%的IgA肾病病例伴C3和IgG沉积,但强度较弱。IgA轻链以λ为主,有J链,无分泌块,通常无C1q和C3沉积。电镜下几乎都可见到细小均一的颗粒状电子致密物,分布于系膜区;若在上皮下或内皮下出现,则可判断为IgA肾病病情严重。上皮细胞足突则常常是正常的。

图2—10 系膜增生性IgA肾病,肾小球系膜细胞和基质增生(PAS x200)

图2—11 IgA肾病,IgA呈团块状沉积于系膜区(免疫荧光 x400)

在IgA肾病中,不同的作者常根据各自不同的研究目的,对IgA肾病患者的病理改变进行分级或分型,因而所制定的分类方法也各有偏重。总体上说,进行病理积分的目的不外乎使诊断更准确,阐明各种病理改变之间的关系及其与预后的联系,以及评价治疗效果。常用的有Lee的分级系统和Hass的分类系统,分别见表2—1和表2—2。

表2—1 Lee的分级系统

表2—2 Hass的分类系统

五、发病机理

目前,原发性IgAN的发病机理还不完全明了,多种因素与发病有关。

1.IgA的糖基化异常认识可能参与致病 IgAN发病的始动因素是系膜IgA沉积,肾小球系膜区沉积的IgA分子公认为IgA1而非IgA2。研究证实了多聚型IgA1与肾小球系膜细胞具有高度的亲和力,研究还证实,IgA1铰链区糖基化异常致其不能有效而充分地经肝脏进行浸除,从而使血浆浓度升高,循环经肾脏时与肾脏固有细胞结合而致病,IgA1的结构异常也使其成为了自身抗原,诱导机体产生抗体,形成抗原抗体复合物沉积在肾小球系膜区,但研究发现多聚IgA1只是参与了IgA肾病的发病,它并不是一个IgA肾病进展的指标。

2.肾脏系膜细胞的反应 IgA肾病沉积在肾小球系膜区的IgA只是一些小分子IgA或IgA片段,其致炎症作用是非常弱的,关键要看肾脏组织特别是系膜细胞对IgA的炎症反应能力如何才是致病的关键,肾小球系膜细胞在受到炎症损伤后又可以产生许多炎症因子并能表达许多炎症因子与炎症介质的受体,特别是已经被证实的肾小球系膜细胞MC上存在IgAFc受体使肾小球炎症进上步放大形成类似“瀑布样炎症放大反应”是导致IgA肾病的关键,所以肾小球系膜系细胞既是炎症的受害者,又是炎症损伤的参与者。研究证实了IgA肾病患者的aIgA1竞争结合HMC的能力显着高于正常人aIgA1,证实HMC上存在特异性IgA1结合蛋白。

3.肾小球损伤的发生 IgAN并非都有明显的细胞浸润,主要通过IgA诱导的MC激活及原位补体激活而引起。体外证据表明MC IgA1受体与大分子IgA的交联引起MC的促炎反应和促纤维化的表型转变。对IgA的反应引起的系膜增生与肾活检标本中看到的MC过多一致。而且MC暴露于IgA还显示出了细胞外基质,转化生长因子β及肾素血管紧张素系统成分分泌上调。IgA能够通过调节整合素的表达而改变MC2基质间的相互作用,这在肾小球损伤后系膜重塑中具有重要作用。MC暴露于IgA能够激发一系列的促炎级联反应。

4.遗传机理 IgAN可发生在同一家族的兄弟姐妹及发生在移植肾,提示遗传机理和宿主的免疫反应可影响本病的发生。Gharavi等收集了经肾活检确诊的24个意大利和6个美国IgAN家系,通过全基因组扫描和连锁分析证明了IgAN与6q22~23相连锁。近年来多数研究结果显示NpHS1的G349A基因型AGPGG、MUC20基因SLPLL基因型、IL21受体拮抗剂基因多态性、载脂蛋白E基因多态性、肿瘤坏死因子基因型频率、神经肽Y基因多态性及一氧化氮合酶基因多态性与IgA肾病的进展密切相关。甘露糖结合蛋白、选择素基因单核苷酸多态性、IL24、γ2干扰素等基因与IgAN的发生、发展相关。

5.感染 IgA肾病患者中的确有相当一部份患者是在感染后,特别是呼吸道与消化道感染后发生肉眼或镜下血尿,并且反复发作和呈现明显的正相关性,研究者成功地应用肠道黏膜免疫方法复制了系膜IgA沉积的动物模型,这就说明并支持了感染诱发黏膜免疫导致了IgA肾病的发生这一观点。持这种观点的学者多以日本人居多,他们的大样本临床研究证实了扁桃腺切除能显着降低IgA肾病的发生率及IgA肾病的复发率;但德国学者一项大样本的临床研究得出的结论却不支持上述结果,这可能与IgA肾病发病的基因多态性遗传背景有关,同时IgA肾病的临床表现多种多样、临床表现与病理损害之间无明显的相关性等多种因素相关。另一个情况是很多病原微生物的感染都可以诱发IgA肾病,新近的一个报道发现结核杆菌感染同样可以导致IgA肾病的发生。正是因为感染特别是扁桃腺的感染与IgA肾病的发生与复发关系间存在分歧,我国学者形成的基本共识是,如果IgA肾病的复发的确与扁桃腺感染存在明显相关性,则主张将扁桃腺切除。

六、临床表现

IgA常见于青壮年,临床表现轻重不一,预后也各不相同。大量的临床及实验研究证明,IgA各种临床综合征之间有着本质的差别。不同的临床综合征在发病机理,病理改变及转归等方面都有明显的差别,临床上应区别对待。从临床角度可以将IgA分为反复肉眼血尿、大量蛋白尿、无症状尿检异常、血管炎、高血压及终未期IgA等6个类型。

1.反复肉眼血尿型 特征是肉眼血尿反复发作,血尿发作有明显的诱因,多数是各种感染,如上呼吸道感染、扁桃体炎、胆囊炎、腹泻等。通常在感染数小时后出现肉眼血尿(可为新鲜血尿,也可为陈旧性)。发病期间有腰酸胀痛感,血尿间歇期间不伴大量蛋白尿和高血压。病理改变以系膜增生性病变为主,在疾病发作2周内行肾活检,肾小球内可见少量(<10%)节段性细胞性新月体,无袢坏死。小管间质病变轻,无其他血管性病变。此类型多见于儿童,约占IgA肾炎的20%左右。

2.大量蛋白尿型 这一IgA肾病临床突出表现为持续性蛋白尿,通常无肉眼血尿及高血压病史。根据是否合并其他症状将IgA肾病临床分型之大量蛋白尿型分为经典型(A型)和非肾病型(B型)两个亚型。

(1)A型:具有“三高一低”典型肾病综合征体征。病理改变以单纯轻度系膜增生为主,无肾小球硬化性及明显的间质改变。

(2)B型:有大量蛋白尿,但水肿不明显,常常有夜尿增多现象,临床俗称“干性肾病”。肾脏病理检查可见肾组织中有广泛肾小球硬化及间质纤维化等慢性化改变。IgA这一临床表现类型患者,其病程往往迁延较长,预后不良。

3.无症状尿检异常型 多数患者起病隐匿,根据是否合并蛋白尿也将这一临床表现分为两个亚型。

(1)A型:仅表现持续性镜下血尿,无蛋白尿,亦无高血压及肾功能不全等临床表现。病理改变以系膜增生性病变为主,间质及血管病变不明显。

(2)B型:表现持续性镜下血尿伴轻—中度蛋白尿(<2.0g/24h),不伴高血压及肾功能减退。病理改变变异较大,从肾小球系膜增生性病变至肾小球硬化不等,间质病变轻重不一,往往与IgA肾病临床表现难以联系。

4.血管炎型 这一IgA临床主要表现为患者普遍起病较急,病情进展较快。临床表现上血尿症状较突出,可合并高血压及肾功能损害。部分患者血液中抗中性粒细胞浆抗体(ANCA)阳性。肾组织学病理改变除系膜病变以外,有明显的血管袢坏死及间质血管炎等病变,新月体可达30%。

5.高血压型 这一IgA临床表现主要为患者血压持续升高,需用降压药物控制。可伴有不同程度的肾功能不全,除尿检异常外,可有孤立性肉眼血尿。病理检查示肾组织中有较多的废弃性病变(如局灶阶段性肾小球硬化或全肾小球硬化以及广泛的间质纤维化)。

6.终末期IgA肾病型(ESRD型) 临床突出表现为除蛋白尿、镜下血尿及高血压外,还合并尿毒症其他症状,血肌酐5mg/dl(442μmol/L以上)。B超显示肾脏缩小,双肾皮质变薄、反光增强。

七、检查

1.免疫学检查 血清IgA常增高,但血清IgA增高不能作为诊断的主要依据。肾活检免疫荧光见肾小球系膜区有以IgA为主的颗粒状沉积物。

2.其他 尿常规常有镜下血尿,以畸形红细胞为主,可伴有轻度蛋白尿。肾功能检查可正常或不同程度的肾功能减退,如肌酐清除率降低,肌酐和尿素氮升高。血β2—微球蛋白增高者,常提示有肾小球硬化。

八、诊断

IgA肾病常见的诊断依据:

1.发生于上呼吸道感染后的肉眼血尿或显微镜下血尿或无症状性蛋白尿(尤其是男性青年)。

2.血尿为肾小球性(畸形红细胞为主),蛋白尿为高、中分子或混合性蛋白尿,血清IgA可能升高。

3.肾活检免疫病理检查肾小球系膜区可见到颗粒状IgA为主的免疫荧光。

4.除外链球菌感染后急性肾小球肾炎、非IgA系膜增生性肾炎、薄基底膜肾病、狼疮性肾炎、紫癜性肾炎、肝硬化及酒精性肝病的肾损害等病种。

九、鉴别诊断

由于肾小球系膜IgA沉积可见于许多其他疾病,所以应除外下列疾病并与之鉴别。

1.急性链球菌感染后肾炎 该病与IgA肾病均可于上呼吸道感染(或急性扁桃体炎和咽炎)后出现血尿,并可伴蛋白尿、水肿及高血压。但IgA肾病在感染后1~3日出现血尿,可伴有血清IgA升高,而急性肾炎在感染后1~2周出现急性肾炎综合征症状,血清补体降低,IgA正常可资鉴别。

2.非IgA系膜增生性肾炎 该病与IgA肾病均可表现为单纯性血尿,临床上鉴别困难,可做肾活检以与之鉴别。

3.过敏性紫癜肾炎 为继发性肾小球疾病,本病与IgA肾病均可表现为镜下血尿或肉眼血尿,肾活检两者同样有肾小球系膜区IgA沉积,但过敏性紫癜有皮肤紫癜、腹痛、关节痛等全身症状,可资鉴别。

4.薄基底膜肾病 薄基底膜肾病主要临床表现为反复血尿,约1/2病例有家族史,临床表现为良性过程。尿Pf4水平可助与IgA肾病鉴别,肾活检病理显示IgA阴性,电镜下弥漫性肾小球基底膜变薄。

参考文献

1 Berger J,Hinglais N.Intercapillary deposits of IgA2IgG.J Urol Nephrol(Paris),1968,74(9):694~695

2 Darvill AM,Ballardie FW.Mesangial autoantigens in IgA nephropathy:matrix synthesis and localization.J Lab Clin MED,2006,147(6):301~309

3 Roos A,Rastaldi MP,Calvaresi N,et al.Glomerular activation of the lectin pathway of complement in IgA nephropathy is associated with more severe renal disease.J Am Soc Nephrol,2006,17(6):1724~1734

4 Gharavi AG,Yan Y,Scolari F,et al.IgA nephropathy,the most common cause of glomerulonephritis,is linked to 6q22—23.Nat Genet,2000,26(3):354~357

5 Namikoshi T,Satoh M,Horike H,et al.Implication of peritubular capillary loss and altered expression of vascular endothelial growth factor in IgA nephropathy.Nephron Physiol,2006,102(1):92~106

6 Lai KN,Chan LY,Leung JC.Mechanisms of tubulointerstitial injury in IgA nephropathy.Kidney Int Suppl,2005,(94):110~115

7 Lee SM K.Prognostic indicators of progressive renaldisease in IgA nephropathy: Emergence of a new histologic grading system.Am J Kid Dis,1997,6:953~955

8 Magil AB,Ballon HS.IgA Neph ropathy:Evaluation of p rogno stic facto rs in patients with moderate disease.Neph ron,1987,47:246~255

9 Bogenschutz O,Bohle A,Batz C,et al.IgA Nephritis:On the importance of mo rpho logical and clinical parameters in the long term prognosis of 239 patients.Am JN ephrol,1990,10:137~140

10 Ibels LS,Gyory AZ.IgA nephropathy:A nalysis of the natural history,impo rtant factors in the progression of renal disease,and a review of the literature.M edicine,1994,73:79~88

11 Wyatt RJ,Emancipator SN,Kon V,et al.IgA nephropathy databand: Development of a system for management of renal biopsy acquired data.Am J Kid Dis,1997,6:817~822

随便看

 

离鸟网收录3541549条中英文词条,其功能与新华字典、现代汉语词典、牛津高阶英汉词典等各类中英文词典类似,基本涵盖了全部常用中英文字词句的读音、释义及用法,是语言学习和写作的有利工具。

 

Copyright © 2004-2024 vtrois.com All Rights Reserved
更新时间:2026/4/8 12:04:18