网站首页  词典首页


请输入您要查询的字词:

 

字词 分类
类别 中英文字词句释义及详细解析
释义

分类


目前我国麻风分类,采用Ridley-Jopling五级分类。此种分类法主要根据临床、组织病理、细菌与免疫反应相关的标准,确定病人在免疫谱系上所处的位置,是反映病人免疫状况的一种级谱分类。

麻风病损的组织病理学表现,是了解病人免疫状态的依据之一,当免疫状态发生改变时,组织学上的变化较临床表现更迅速和确切。但未充分发展的或早期病损,由于肉芽肿未形成,即使临床上能分类的,在组织学上仍有困难。若活体标本选取恰当或作连续切片观察,有时可以发现小片的肉芽肿,有时也可达到分类的目的。

一、免疫谱系的组织学特征

已发现5项组织学特征与免疫有关,即:(1)病损内淋巴细胞的数量和分布;(2)肉芽肿细胞的类型,特别是大的郎罕氏巨细胞的存在;(3)肉芽肿细胞的含菌量;(4)严重的神经受累,神经内有肉芽肿形成或干酪样坏死;(5)部分表皮被上皮样细胞肉芽肿侵蚀。第一个特征为细胞介导免疫的作用,后四个特征是迟发型超敏反应(DTH)的结果。

1.肉芽肿 按肉芽肿细胞的类型把光谱分为两半,TT、BT、BB为上皮样细胞肉芽肿;BL和LL为巨噬细胞肉芽肿,各型间可有移行重叠现象。LL的巨噬细胞泡沫化较BL明显,但在消退的BL,其巨噬细胞的泡沫化较活动的LL更为显着。巨细胞的出现通常与反应有关,如果有大的演化良好的郎罕氏巨细胞,说明BT升级到TT。

2.淋巴细胞数量及分布 淋巴细胞数量以TT和BL最多,BB和LL最少。在TT,淋巴细胞分布在肉芽肿周围并形成致密的包绕,肉芽肿内只有少量且弥散分布的淋巴细胞;在BT和LLs,有时在肉芽肿内可有淋巴细胞的小集落。在BL,淋巴细胞则在肉芽肿的一个区域弥散分布并延伸到其边缘,或者在神经束周围形成袖套状浸润。

3.神经 神经束的严重受累,仅见于TT,但不一定能观察到,轻微的神经受累在分类上没有多大帮助,BB、BL、LLs神经束膜层状变化较为显着。

4.表皮和表皮下带 表皮被肉芽肿侵蚀及表皮下带有细胞浸润,几乎仅见于TT。BT通常缺乏此种病变。BB、BL和LL的表皮下带清楚,但在光谱的这一段,对分类帮助不大,偶而由于病变的扩大,表皮下带可被压迫而消失;病变小或仅限于在真皮深层,缺乏表皮下带则没有分型上的意义。

5.细菌 肉芽肿内细菌的密度随光谱的位置而不同,在分类上有重要的参考价值,特别在光谱的BT、BB、BL段价值更大。靠近极型,由于细菌数量和BT或BL相近似,其作用稍小。

二、光谱中各型麻风的组织学分类标准

用于指导分类的各种组织学特征及参考见表3-4。

表3-4 组织学分类实施指南

引自Ridley D.S.:Skin Biopsy of Leprosy,1985,P,198

下面表述的各型麻风的组织学分类标准,均只见于已充分发展的病损内。在作分类时,要注意了解病人的临床表现和治疗情况,考虑病损的活动、消退和反应的影响。部分病人的分类可介于两型之间。

1.TT(结核样型) 上皮样细胞肉芽肿并伴有下列一些或某种特征:(1)有很多淋巴细胞包绕的上皮样细胞肉芽肿;(2)肉芽肿细胞深而广泛地侵蚀表皮;(3)神经束中心有干酪样变或真皮内有片状的纤维蛋白样变性,或者真皮深层神经束有肉芽肿而明显肿大(直径大于400微米);(4)有许多大的郎罕氏巨细胞,抗酸杆菌0~1+。

可有两种情况:

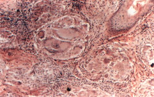
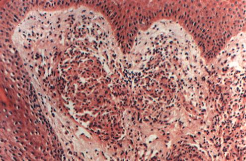
原发性TT(TTp):发病时免疫力很强,临床上病人只有少数或单个典型的TT病损,组织学上为有致密淋巴细胞包绕的上皮样细胞肉芽肿(照片1)。

照片1 结核样型麻风(TTp)

结核样浸润,有大量致密的淋巴细胞围绕在上皮样细胞灶的外周。

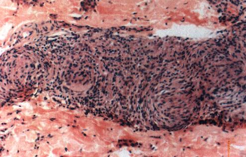
继发性TT(TTs):此种TT更多见。临床上呈TT或BT,组织学上有明显的DTH为特点的上皮样细胞肉芽肿,即伴有表皮被肉芽肿深而广泛地侵蚀,或神经束严重受累,或有大量的异物巨细胞(照片2)。

照片2 结核样型麻风(TTs)

结核样浸润,有大量巨细胞,灶周围的淋巴细胞较少。

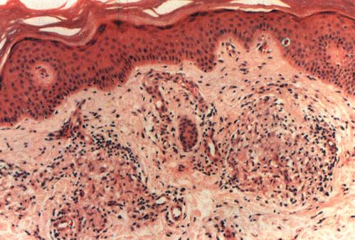
2.BT(界线类偏结核样型)此型麻风比TT或BB更为常见,大多数病人不治疗将降级,随着治疗可升级。

为上皮样细胞肉芽肿,伴有巨细胞或者中等量的淋巴细胞,或者两者兼备,巨细胞为异物型。表皮偶有小范围的楔状浸润或侵蚀,有时可见狭窄的表皮下带,神经束中等度肿大,神经内可有肉芽肿病变且常常有淋巴细胞浸润,神经束膜轻度层状改变,有时仅见雪旺氏细胞增生,抗酸杆菌0~2.5+(照片3)。

照片3 界线类偏结核样型麻风(BT)

表皮下有“无浸润带”,浸润灶以上皮样细胞为主,周围淋巴细胞较少。

3.BB(中间界线类)由于免疫状态不稳定,此种类型少见,不治疗常降级为LLs,随着治疗通常升级到BT。此类麻风的病理变化为上皮样细胞肉芽肿(少数病例可能有少量的巨噬细胞灶),没有巨细胞,淋巴细胞少,常呈弥散性分布。表皮下带清晰,神经无明显肿胀或正常,神经束膜有层状改变并有上皮样细胞浸润,抗酸杆菌3+~4.5+,细菌分布不均匀,有些区域数量较少(照片4)。

照片4 中间界线类麻风(BB)

真皮水肿,有“无浸润带”及上皮样细胞浸润灶,淋巴细胞少,未构成包围。

4.BL(界线类偏瘤型)不治疗可降级,治疗后可升级,但较BB和BT稳定,其细菌数量和对治疗的细菌学反应更靠近瘤型。此型的病理变化为巨噬细胞肉芽肿,有下列一些特征,(1)部分肉芽肿内有大量的淋巴细胞弥散分布;(2)巨噬细胞之间有孤立的上皮样细胞巢,伴有或不伴有淋巴细胞;(3)中等量淋巴细胞和未演化的肉芽肿细胞混合存在;(4)神经束膜层状改变较普遍,并有细胞浸润,使其结构模糊,细胞侵入神经内。巨噬细胞浆较均质,有一点泡沫状外观,但在消退性病变内,泡沫化改变较明显,无空泡出现,抗酸杆菌指数为4+~5.5+(照片5)。

照片5 界线类偏瘤型麻风(BL)

巨噬细胞浸润灶,淋巴细胞多,分散存在,可见神经束膜呈明显葱皮样变。

5.LL(瘤型麻风)多数病例是BB或BL降级的结果,大约10%的病例治疗一年或数年后可升级。此型麻风的病理变化为巨噬细胞肉芽肿,没有上皮样细胞,淋巴细胞相当少,即使有淋巴细胞集聚也仅限于肉芽肿内的一小区域,不延伸到肉芽肿边缘,巨噬细胞有不同程度的泡沫样改变。在消退性病变中,可见大大小小的空泡,神经束可有层状改变,但没有明显的细胞浸润,神经束也可正常,抗酸杆菌5+~6.5+。

如果需要,LL型麻风可区分为亚瘤型(LLs)和极瘤型(LLp)。

LLs的活动性损害内,巨噬细胞显示轻微的泡沫样改变,胞浆水肿不严重,淋巴细胞少且散在(比LLp略多),有时可在一小片肉芽肿内呈限局聚集,常有浆细胞。肉芽肿内各种细胞的混合存在,加之巨噬细胞排列较致密,使肉芽肿呈现出细胞成分相当不一致外观。在消退期,巨噬细胞泡沫样改变明显,偶而可见含有大空泡的多核巨细胞,淋巴细胞稍多,神经束肿大的程度与BL相似,常有神经束膜层状改变,但无细胞浸润(照片6)。

照片6 瘤型麻风(LLs)

有泡沫细胞浸润,淋巴细胞少,可见大量胶质巨细胞。

LLp在高度活动损害内,巨噬细胞的胞浆有丰富的泡沫样改变,活动程度稍低时;有少量的小泡,淋巴细胞稀少,呈现为肉芽肿内细胞成份稀少的外观。在消退性损害内,大空泡处于只有很薄的膜的多核巨细胞内,有时可见少量的巨细胞。除非发生ENL,淋巴细胞很少,神经束无肿胀,可能出现玻璃样变或纤维化,神经束膜没有明显的层状改变(照片7)。

照片7 瘤型麻风(LLp)

可见大量泡沫细胞浸润,淋巴细胞很少,浸润较单纯。

6.I(未定类)没有肉芽肿形成,不能按上述标准进行分类,属于早期损害。

此型的病理变化为轻度或中等度组织细胞、淋巴细胞为主的浸润,有选择性地出现在神经束、立毛肌、汗腺、毛囊血管周围,可见神经束肿大,神经束膜有细胞浸润,结构可被破坏;或者神经束膜及雪旺氏细胞增生,有时可在神经束内或浸润灶内发现少量抗酸杆菌。若发现表皮或表皮下带有细胞浸润,表示向结核样型方向发展。神经束内如有相当数量的细菌,而没有组织反应,暗示为早期BL或LL(照片8)。

照片8 未定类麻风(Ⅰ)

有小灶性以淋巴细胞为主的非特异性慢性炎细胞浸润。可见一处神经周围浸润。

随便看

 

离鸟网收录3541549条中英文词条,其功能与新华字典、现代汉语词典、牛津高阶英汉词典等各类中英文词典类似,基本涵盖了全部常用中英文字词句的读音、释义及用法,是语言学习和写作的有利工具。

 

Copyright © 2004-2024 vtrois.com All Rights Reserved
更新时间:2026/4/8 14:28:33