网站首页  词典首页


请输入您要查询的字词:

 

字词 支气管扩张
类别 中英文字词句释义及详细解析
释义

支气管扩张


一、概述

支气管扩张(bronchiectasis)是支气管慢性异常扩张的疾病,是由直径大于2mm的近端支气管及周围组织慢性炎症和支气管阻塞引起支气管组织结构出现较严重的病理性破坏所致。本病以儿童及青少年多见,常继发于麻疹、百日咳后的支气管炎和迁延不愈的支气管肺炎等,主要症状为慢性咳嗽、咳大量脓痰和(或)反复咯血。

二、流行病学

本病过去发病率较高,仅次于肺结核,自抗生素和疫苗问世以来,发病率已明显下降。但是国外近期统计表明,20世纪80年代美国儿童支气管扩张的发病率与40年代基本相近,其可能与新生儿和儿童肺炎的发病率始终居高不下有关。

三、病因

1.支气管-肺组织感染 婴幼儿时期,支气管肺组织感染是支气管扩张最常见的病因。由于婴幼儿支气管较细,管壁尚未发育完善,较为薄弱,易被阻塞或遭受破坏。反复感染破坏支气管壁各层组织,尤其是对肌层组织及弹性组织的破坏,减弱了对管壁的支撑作用。支气管炎使支气管黏膜充血、水肿,分泌物堵塞致引流不畅,从而加重感染。左下叶支气管细长且位置低,受心脏影响,感染后引流不畅,故发病率高。左舌叶支气管开口与左下叶背段支气管开口相邻,易被左下叶背段感染累及,因此两叶支气管同时扩张亦常见。

支气管内膜结核引起管腔狭窄、阻塞、引流不畅,导致支气管扩张;肺结核纤维组织增生、牵拉收缩,亦导致支气管变形扩张。因肺结核多发于上叶,引流好,痰量不多或无痰,所以称之为“干性”支气管扩张。其他因素,如吸入腐蚀性气体、支气管曲霉菌感染、胸膜粘连等,可损伤或牵拉支气管壁,反复继发感染可引起支气管扩张。

2.支气管阻塞 肿瘤、支气管异物和感染可引起支气管腔内阻塞,支气管周围肿大淋巴结或肿瘤的外压也可致支气管阻塞。支气管阻塞导致肺不张,失去肺泡弹性组织缓冲,使胸腔负压直接牵拉支气管壁引起支气管扩张。右肺中叶支气管细长,周围有3组淋巴结围绕。这些淋巴结会因非特异性或结核性淋巴结炎而肿大,进而压迫支气管,引起右肺中叶肺不张和反复感染,又称“中叶综合征”。

3.支气管先天性发育障碍和遗传因素 支气管先天发育障碍,如气管-支气管增大症(tracheobron chomegaly),可能是先天性结缔组织异常、管壁薄弱所致的扩张。因软骨发育不全或弹性纤维不足,导致局部管壁薄弱或弹性较差而产生支气管扩张,常伴有鼻窦炎及内脏转位(右位心),称为卡塔格纳综合征(Kartagener’s syndrome)。与遗传因素有关的肺囊性纤维化,由于支气管黏液腺分泌大量黏稠液体,分泌物潴留在支气管内引起阻塞、肺不张和反复继发感染,可发生支气管扩张。遗传性a1-抗胰蛋白酶缺乏症亦伴有支气管扩张。先天性解剖学缺陷肺隔离症为先天性发育异常,其隔离肺组织与正常肺组织相连;隔离肺一般没有支气管与正常肺组织相通,而出现感染时则可与之相通导致支气管扩张。此外,支气管软化、支气管囊肿、软骨缺陷、支气管内畸胎瘤,均可引起支气管扩张。

4.全身性疾病 近年来发现类风湿关节炎、克罗恩病(Crohn’s disease)、溃疡性结肠炎、系统性红斑狼疮、支气管哮喘和泛细支气管炎等疾病可同时伴有支气管扩张。免疫缺陷支气管扩张与免疫系统缺陷有关,且体液免疫缺陷比细胞免疫缺陷更易发生支气管扩张。由于体液免疫缺陷者的气管-支气管分泌物中缺乏针对病毒的IgA和(或)IgG中和抗体,或缺乏针对荚膜细菌的IgG调理抗体,易导致反复病毒或细菌感染。其中,低球蛋白血症患者因全身和气道分泌物中缺乏免疫球蛋白易致复发性细菌感染,常见反复的鼻窦和支气管肺感染,使其患支气管扩张的危险性明显增加。

四、生理病理

1.发病机制 先天性支气管扩张症较少见,是由于肺的外周不能进一步发育,导致发育支气管呈囊状扩张。获得性支气管扩张症有以下几个原因。

(1)因感染、吸入毒性化学物质、免疫反应或血管畸形影响支气管营养,从而导致支气管壁遭受直接破坏。

(2)肺不张或肺实质体积缩小导致对气道壁牵拉增加,随之产生的机械改变可导致支气管扩张和继发感染。细菌的内毒素和蛋白酶、来自循环系统或肺内炎症细胞的蛋白酶、过氧化物和抗原抗体复合物等,均可导致支气管壁破坏;支气管肺泡灌洗液中大量激活的中性粒细胞弹性蛋白酶、组织蛋白酶g和中性粒细胞基质金属蛋白酶(mmp-8),随中至重度支气管扩张症病情严重度的递增而增加。抗a-胰蛋白酶和抗凝乳蛋白酶的抗蛋白酶可使蛋白分解或氧化裂解成低分子,从而降低对细胞外基质酶破坏的。通过检测痰中促炎细胞因子、白介素-1β(IL-1β、IL-8和肿瘤坏死因子a以及证明化学因子、细胞因子与支气管内细胞相互作用可导致某些炎症细胞的聚集和活化,影响其生存,并调节作为支气管扩张症主要特征的炎症的发展,影响炎症部位免疫反应,细胞信号传导和浆液渗出的一氧化氮可造成支气管扩张症炎症反应的持续存在,同正常人及吸入皮质激素的支气管扩张症患者比较,支气管扩张症患者呼出的一氧化氮增加。

(3)吸入异物、感染或支气管黏液-纤毛廓清功能异常均可造成支气管阻塞,而阻塞又可诱发感染或使感染持续存在,二者相互作用可导致支气管局部发生炎症反应,出现白细胞(特别是中性粒细胞)浸润、聚集,并释放髓过氧化物酶(MPO)、弹性蛋白酶、胶原酶等各种蛋白溶解酶和毒性氧自由基及其他炎症介质。上述蛋白酶、氧自由基及介质可导致支气管黏膜上皮细胞损害,出现肿胀、脱落和坏死,黏液腺增生和黏液分泌增多,支气管壁组织破坏,最终形成支气管扩张。

少见的支气管扩张症类型可见于变应性支气管肺真菌病(变应性支气管肺曲菌病),表现为近端支气管的扩张远大于中度大小的亚段支气管或在特发性支气管扩张症中所见的外周支气管。支气管壁的损害是由于寄生的产蛋白酶真菌(绝大多数为烟曲霉)的免疫反应,其使得致病微生物、炎症及其破坏持续存在。曾报道称,支气管扩张症与自身免疫性疾病有关。

2.病理

(1)好发部位:支气管扩张可以弥漫性发生于双侧肺脏的多个肺叶,亦可仅出现一二处局限性病灶。约半数以上的支气管扩张发生于1个肺段,多见于引流不畅的支气管。因此,支气管扩张多发生于双肺下叶,且左肺多于右肺。其原因为,左侧支气管与气管分叉角度较右侧大,加之左侧支气管较右侧细长,这种解剖学上的差异导致左侧支气管引流效果较差。由于受心脏和大血管的压迫,左侧支气管扩张多发生于左肺下叶,几乎总会累及后基底段支气管。舌叶支气管开口接近下叶背段,易受下叶感染波及,因此临床上常见到左下叶与舌叶支气管扩张同时存在,而左肺上叶一般很少发生。通常情况下,支气管扩张发生于中等大小的支气管,其下更小的支气管则形成瘢痕而闭塞。

(2)根据解剖学部位和形态学改变将支气管扩张分为3类,即:①柱状或梭状支气管扩张;②静脉曲张状支气管扩张;③袋状或囊状支气管扩张。上述分类中的不同表现可单独出现,亦可多种并存、叠加。

正常的支气管壁可分为数层,在气道的不同部位,各层的厚度和成分均有差异。黏膜及黏膜下层的细胞具有保护气道和肺组织免受有害物质损伤的作用,包括黏液分泌细胞、纤毛细胞及参与免疫反应和其他防御机制的细胞;弹力纤维、肌肉纤维及软骨层等气道结构具有调节气道口径的作用;血管和淋巴样组织具有气道营养和防御作用。支气管扩张形成过程中,受损部位的支气管壁由于慢性炎症而遭到破坏,纤毛细胞受损或消失,黏液分泌增多。此外,由于支气管壁的正常张力丧失,受累支气管变得更大而松弛、向外突出或形成囊状。黏液分泌增多有利于细菌滋生,且常可阻塞支气管,导致感染性分泌物积聚而进一步损害支气管壁。炎症亦可扩展至肺泡,引起支气管肺炎,形成瘢痕,以及使具有功能的肺组织数量减少。严重患者肺内瘢痕形成和血管减少最终可加重心脏负担,形成肺源性心脏病。此外,支气管壁的炎症和血管增多可引起咯血,受累的气道闭塞将导致血氧含量异常降低。

五、分级

Reid根据支气管扩张的严重程度和远侧支气管、细支气管的闭塞程度,结合病理和支气管造影将其分为以下3级。

1.Ⅰ级 柱状支气管扩张,支气管直径轻度增大,边缘平整,扩张远端呈方形,并突然中断。

2.Ⅱ级 静脉曲张样支气管扩张,扩张程度较柱状显着,由于同时有局部较狭窄处,使外缘呈静脉曲张样不规整,扩张远端呈球形,远侧支闭塞也较柱状为重。

3.Ⅲ级 囊状支气管扩张,是最严重的一种,扩张支气管的外缘呈球状,越向周围其扩张程度越大,扩张形成的囊可直接位于胸膜下。

六、临床表现

本病多起病于幼儿或青年,呈慢性进程,多数患者在童年期有麻疹、百日咳或支气管肺炎迁延不愈的病史。早期常无症状,随病情发展可出现典型临床症状。

1.症状

(1)慢性咳嗽、咳大量脓痰:与体位改变有关,每日痰量可达100~400ml。支气管扩张分泌物潴留,于体位变动时刺激支气管黏膜,引起咳嗽和排痰。痰液静置后分3层:上层为泡沫,中层为黏液或脓性黏液,底层为坏死组织沉淀物。合并厌氧菌混合感染时,痰有臭味,常见病原体为绿脓杆菌、金黄色葡萄球菌、流感嗜血杆菌、肺炎链球菌和卡他莫拉菌。

(2)反复咯血:50%~70%的患者有不同程度的咯血史,从痰中带血至大量咯血,咯血量与病情严重程度、病变范围不一定成比例。部分患者以反复咯血为唯一症状,平时无咳嗽、咳脓痰等症状,称为干性支气管扩张,病变多位于引流良好的上叶支气管。

(3)反复肺部感染:特点为同一肺段反复发生肺炎并迁延不愈,这是由于扩张的支气管清除分泌物的功能丧失,引流差,易于反复感染。

(4)慢性感染中毒症状:反复感染可引起发热、乏力、头痛、食欲减退等。病程较长者可有消瘦、贫血,儿童可影响生长发育。

2.体征 早期或干性支气管扩张可无异常肺部体征。典型者在下胸部、背部可闻及固定、持久的局限性粗湿啰音,有时可闻及哮鸣音。部分慢性患者伴有杵状指(趾)。病程长者可有贫血和营养不良,出现肺炎、肺脓肿、肺气肿、肺源性心脏病等并发症时可有相应体征。

七、检查

1.实验室检查 白细胞计数与分类一般为正常;急性感染时,白细胞计数及中性粒细胞比例可增高。贫血患者血红蛋白下降,血沉可增快。

2.影像学检查

早期轻症患者胸部X线检查可无特殊发现。典型X线表现为一侧或双侧下肺纹理增粗、紊乱,其中有多个不规则的透亮阴影或沿支气管分布的蜂窝状、卷发状阴影,急性感染时阴影内可出现小液平面。柱状支气管扩张的X线表现是“轨道征”,即增厚的支气管壁影。

胸部CT检查显示支气管管壁增厚的柱状扩张并延伸至肺周边,或有成串、成簇的囊状改变,可含气液平面。HRCT较常规CT具有更高的空间和密度分辨力,能够显示以次级肺小叶为基本单位的肺内细微结构,已基本取代支气管造影。

支气管造影可确诊此病,并明确支气管扩张的部位、形态、范围和病变严重程度,为手术治疗提供资料。支气管扩张的常见伴发表现如下。

(1)支气管内黏液栓:由于支气管壁受损,清除不良,分泌物潴留于支气管内形成黏液栓。此时含气扩张的支气管征象消失,而表现为串珠状、Y形或V型结节状或卵圆形致密影。

(2)肺感染:支气管感染波及周围的肺泡、呼吸性细支气管,进而发展成段或叶实变。

(3)肺段性肺不张:由于支气管周围纤维化引起瘢痕性不张,可表现为支气管并拢,相邻肺叶代偿性肺气肿。

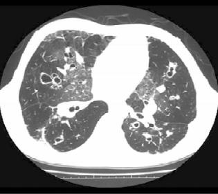
支气管扩张典型表现见图2-2和图2-3。

图2-2 双下肺支气管壁增厚,囊状扩张

图2-3 双下肺成簇囊状扩张,伴局部肺大疱

3.支气管镜检 可发现出血、扩张或阻塞部位及原因,可进行局部灌洗、清除阻塞、局部止血,可取灌洗液行细菌学、细胞学检查,有助于诊断、鉴别诊断与治疗。

八、诊断

1.可有麻疹、百日咳及流感后肺炎等病史,或有反复发生肺炎、肺结核或支气管内膜结核伴肺不张的病史。

2.慢性反复发生的咳嗽,咳脓性痰,于变换体位时痰量增加,可伴(或不伴)反复咯血或咯大量新鲜血。感染时可有发热等全身中毒症状。

3.可有肺部固定性湿啰音,感染时尤为明显。部分患者有杵状指(趾)。

4.继发感染时,血白细胞及中性粒细胞增高。部分患者可有血沉增快。

5.痰培养有致病菌生长。有结核性支气管扩张时,痰结核菌可为阳性。

6.胸部X线检查示患侧有肺纹理增粗、紊乱;囊状支气管扩张可见蜂窝状(卷发状)阴影;继发感染时,病变区可有斑片状炎性阴影。病变多见于左下叶。轻症者一般无异常发现。

7.支气管碘油造影发现有柱状、囊状或囊柱状扩张改变可确诊。

8.胸部CT有助于诊断。

9.先天性支气管扩张少见。例如卡塔格纳综合征,表现为囊状支气管扩张、心脏右位、鼻窦炎和胰腺囊性纤维病变。

10.呼吸功能检查于不同阶段表现可不同。早期检查无异常,随病情发展可以表现为阻塞性通气障碍。

总之,根据慢性咳嗽、咳大量脓痰、反复咯血和同一肺段反复感染等病史,查体于下胸部及背部可闻及固定而持久的粗湿啰音、结合童年期有诱发支气管扩张的呼吸道感染病史,X线显示局部肺纹理增粗、紊乱或呈蜂窝状、卷发状阴影,可做出初步临床诊断,支气管造影或高分辨CT可明确诊断。

九、诊断标准

1.可有麻疹、百日咳、支气管肺炎、肺结核、肺脓肿等病史。

2.长期咳嗽,咳脓性痰;痰量多少不等,多则数百毫升,少则几毫升;体位变动时,咳嗽、咳痰增多。病程中出现继发感染或病情进展时,除咳嗽加剧、痰量增多,常伴有发热、白细胞及中性粒细胞增高。

3.多数患者有反复咯血史。

4.少数患者亦可能长期无症状。

5.胸部X线检查 肺纹理增多,病变明显时可有蜂窝状或卷发样阴影,甚至可有液平面。支气管碘油造影可见支气管呈柱状、囊状或混合型扩张。

十、鉴别诊断

1.慢性支气管炎 多发生于中老年吸烟者;咳嗽、咳痰于气候多变的冬春季节明显,多咳白色黏液痰,感染急性发作时出现脓性痰;反复咯血症状不多见;两肺底可闻及散在的干、湿啰音,咳嗽后可消失。胸部X线检查示肺纹理紊乱,或有肺气肿改变。

2.肺脓肿 起病急,全身中毒症状重,有高热、咳嗽、咳大量脓臭痰的表现。X线检查可见局部浓密炎性阴影,其中有空洞,伴气液平面。经有效抗生素治疗,炎症可完全吸收。慢性肺脓肿既往有急性肺脓肿的病史。支气管扩张和肺脓肿可以并存。

3.肺结核 常有低热、盗汗、乏力等结核中毒症状,多于上肺部闻及干、湿啰音。胸部X线检查和痰结核菌检查可做出诊断。结核可合并支气管扩张,部位多见于双肺上叶及下叶背段支气管。

4.先天性肺囊肿 是一种先天性疾病,无感染时可无症状,X线检查可见多个薄壁的圆形或椭圆形阴影,边界纤细,周围肺组织无炎症浸润。胸部CT检查和支气管造影有助于诊断。

5.弥漫性泛细支气管炎 慢性咳嗽、咳痰,活动时呼吸困难,可合并慢性鼻窦炎。胸部X线和CT检查示弥漫分布的边界不太清楚的小结节影。类风湿因子、抗核抗体冷凝集试验可呈阳性,需病理学确诊。大环内酯类抗生素治疗2月以上有效。

随便看

 

离鸟网收录3541549条中英文词条,其功能与新华字典、现代汉语词典、牛津高阶英汉词典等各类中英文词典类似,基本涵盖了全部常用中英文字词句的读音、释义及用法,是语言学习和写作的有利工具。

 

Copyright © 2004-2024 vtrois.com All Rights Reserved
更新时间:2026/4/7 5:38:16