网站首页  词典首页


请输入您要查询的字词:

 

字词 放射性肺炎
类别 中英文字词句释义及详细解析
释义

放射性肺炎


一、概述

放射性肺炎(radiation pneumonitis)系由于肺部、纵隔、肿瘤、食管癌、乳腺癌、恶性淋巴瘤或胸部其他部位肿瘤经放射治疗后,在放射野内的正常肺组织受到损伤引起的炎症反应。轻者无症状,炎症可自行消散;重者产生广泛性肺纤维化,导致呼吸功能损害,甚至呼吸衰竭。

二、流行病学

自1895年伦琴发现后不久,X线即被用于临床治疗恶性肿瘤,射线对肿瘤细胞具有杀伤作用,但也同时损伤了邻近器官。肺是放射敏感器官,可被体外照射治疗损伤。本病首先报道于1992年,描述了放射治疗数周到数月后出现咳嗽、发热、呼吸困难综合征以及胸部X线的渗出性改变。放射性肺炎常发生于各类放射治疗患者。

三、病因

放射性肺炎的发生、肺部损伤的严重程度与放射面积、放射量、放射速度和放射的方法均有密切关系。一般在5周内,放射量阈值在25Gy的常规照射量较为安全;放射剂量在6周内20Gy,极少产生放射性肺炎;在相同时间内剂量超过40Gy,则放射性肺炎发生率达100%;放射量超过60Gy可引起严重肺损伤。放射量越大,放射性肺炎发生率越高,肺的损伤越严重。以同样大的剂量做大面积照射治疗引起的肺组织损伤远比肺局部照射严重。照射速度越快,越易产生肺损伤。其他影响因素,如个体对放射线的敏感性、肺部的原有疾病(如肺炎、慢性支气管炎、肺气肿、肺间质性疾病等)或多次放射性照射均易促进放射性肺炎的发生。甲状腺癌、咽喉部肿瘤放射性治疗,包括频繁的CT检查,也可以引起肺损伤,产生放射性肺炎。老年人和小孩对放射性治疗的耐受性差。化学疗法所用药物(如博来霉素)引起的肺毒性可能加重放射性肺的损害。

四、生理病理

放射性肺炎的病理变化可分为急性放射性炎症改变和慢性纤维化病变。

1.急性炎症改变多发生在放射治疗后1~2个月,亦可发生在放射治疗结束后6个月。其主要表现为肺毛细血管及小动脉充血、扩张和栓塞,血管通透性增高,肺泡细胞肿胀,Ⅱ型肺泡细胞和肺泡巨噬细胞增加,淋巴管扩张和肺泡内透明膜形成。肺泡壁有淋巴细胞浸润,可自行消散,也可有结缔组织增生和纤维化。

2.慢性病变往往发生于放射治疗9个月以后,病理为广泛肺泡纤维化,肺脏收缩,毛细血管内膜增厚、硬化、管腔狭窄或阻塞而导致肺循环阻力增高和肺动脉高压。胸膜可因炎变和纤维化而增厚。若细支气管黏膜上皮间变,继发肺部感染可促进放射性肺纤维化,也是导致死亡的重要诱因。

五、临床表现

患者可在放射治疗后出现刺激性咳嗽,多数在放射治疗2~3个月后出现症状,个别在停止放射治疗半年后出现刺激性干咳,活动后加剧,伴有气急、心悸和胸痛;可不发热或低热,偶有高热,体温高达40℃。随肺纤维化加剧,患者可逐渐出现呼吸困难,易发生呼吸道感染而使症状加重,出现发绀。病情轻者可无症状。

体检可发现患者胸部放射局部的皮肤萎缩变硬。多数患者肺部无阳性体征;肺内纤维化广泛时呈端坐呼吸,呼吸音普遍减弱,可闻及捻发音或爆裂音(crepitant rales or crackles);继发细菌感染可出现干、湿啰音;偶有胸膜摩擦音。伴发肺源性心脏病(肺心病),则可出现颈静脉充盈、肝大及压痛、全身水肿等右心衰竭的表现。由于放射性肺炎和肺纤维化,肺顺应性下降,肺活量、肺总量、残气量、第一秒用力呼气量减少,表现为限制性通气障碍;通气/血流比值降低,气体弥散障碍,导致低氧血症。肺功能检查可早期发现本病,通常早于胸部X线检查。

六、检查

1.实验室检查 可有轻度白细胞增高,血沉加快,动脉血氧分压低于正常。

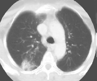
2.其他辅助检查 X线表现多数于停止放射治疗1~3个月后出现。急性期在照射肺野出现片状或融合成大片的、致密的模糊阴影,照射范围呈毛玻璃样表现,其间隐约可见网状阴影,与支气管肺炎或肺水肿极相似;慢性期产生肺纤维化,呈网状、条索状或团块状收缩阴影,主要分布于肺门或纵隔两侧及其他放射肺野。由于肺纤维收缩,气管、心脏移向病侧,同侧膈膜抬高,正常肺组织产生代偿性肺气肿。发生肺动脉高压时,表现为右肺下动脉横径增厚、肺动脉段突出或右心肥大。常伴胸膜腔积液征,偶见自发性气胸。见图1-5。

图1-5 女,58岁,右乳癌术后,放射性肺炎

3.肺功能改变 放射性肺炎和肺纤维化都引起限制性通气功能障碍,肺顺应性减低,伴通气/血流比值降低和弥散功能减低,导致缺氧。有时胸部X线检查尚未发现异常,而肺功能检查已显示变化。

七、诊断

结合放射性治疗史,干性咳嗽、进行性气急表现,肺功能检查和胸部X线检查有炎症或纤维化表现,诊断本病不困难。

八、鉴别诊断

1.细菌性肺炎和间质性肺疾病 细菌性肺炎表现为发热、咳黄痰,感染血象,典型肺炎影像改变;间质性肺病表现为活动后气短、两肺弥漫性纤维化,无放疗史,影像特点改变有助鉴别。

2.肺部肿瘤恶化 放射性肺炎的病变部位一般与照射野相符,经足量放射引起肺纤维化,使肺和纵隔组织形成团状,但无肿瘤复发证据,也无其他器官的转移,此点可与肺部肿瘤恶化相鉴别。

随便看

 

离鸟网收录3541549条中英文词条,其功能与新华字典、现代汉语词典、牛津高阶英汉词典等各类中英文词典类似,基本涵盖了全部常用中英文字词句的读音、释义及用法,是语言学习和写作的有利工具。

 

Copyright © 2004-2024 vtrois.com All Rights Reserved
更新时间:2026/4/7 19:11:48