网站首页  词典首页


请输入您要查询的字词:

 

字词
类别 中英文字词句释义及详细解析
释义


3.2.1 应用解剖和生理

呼吸道包括鼻、鼻咽和喉,向下至肺泡,包括血运,理解肺叶分布对临床评价至关重要(见图63)。右肺分为三个叶,上、中、下叶,而左肺被舌叶(不完整的中叶)分成两个叶,上叶和下叶。

图63 肺叶在体表的分布标志

上叶主要检查前胸,下叶主要检查后背。然而值得提出的是,右中叶疾病仅通过细致的前胸和腋区检查发现,因此右中叶肺炎通常被忽略。

吸气肌克服肺和胸壁的弹性阻力及气道中普遍存在的非弹性阻力,通常大的中央气道阻力较大,小气道阻力较小,因为大气道与断面区相连接。在疾病状态下,大小气道的阻力均显着增加,如此辅助呼吸肌如吸气肌(胸锁乳突肌及斜角肌)或呼气肌(腹肌)也参与呼吸运动。引起呼吸道阻力改变的常见疾病见表16。

表16 引起呼吸道阻力改变的常见疾病

只有当全肺各部分完全通气,并且与血流相匹配时,肺的气体交换才充分。而且,还需要二氧化碳和氧沿着终末气道有效弥散。

如果气体交换面积减少或通气灌注分布不良导致有效面积减少,肺交换气体的综合能力也下降。在静息状态下,不会有生理显着性下降,但在运动中,会减少摄取氧的数量。

3.2.2 呼吸疾病的评估和诊断

呼吸疾病患者的评估遵循全面病史采集的推测。一些问题在心血管系统中已提及,不再赘叙。

1.采集病史

呼吸疾病的六个主要症状:咳嗽、咳痰、咯血、胸痛、呼吸困难和喘息。这些症状使患者疲乏、痛苦、回答问题困难。当你同患者交谈时,确保患者保持坐位,戴上氧气罩,这样患者会感觉舒服些。至于心血管系统疾病,记得以开放式问题开始你的病史采集。

(1)临床表现

①咳嗽 咳嗽是声门关闭用力排除气体的过程。支气管粘膜富含咳嗽受体,受迷走神经纤维支配,刺激由咽至肺外周的任何部分受体都可引起咳嗽。感染、炎症、肿瘤或异物可引起咳嗽,完整的病史会帮助你找出病因。咳嗽可能是哮喘的惟一症状,因此问道:

●“你咳嗽是发生在运动后还是在晚上?”这暗示咳嗽可能由支气管痉挛引起。

很多吸烟者认为咳嗽很正常,因此你应该询问咳嗽的性质变化,这很重要:

●“我明白你咳嗽很多年,告诉我咳嗽最近有变化吗?”

患者经常能将咳嗽局限于喉的上方或下方。鼻炎的后鼻滴注是喉上方病变引起咳嗽的例子,可能伴有慢性鼻塞。喉炎通常伴有咳嗽和声音嘶哑,提高了支气管癌导致喉返神经麻痹的可疑性。

在你的问诊中尽量区分这些症状。气管炎引起的咳嗽通常是干性的,而且气管后极度疼痛,伴有咳嗽痛。大叶肺炎和支气管阻塞引起的肺萎陷也可导致咳嗽,这两种情况可能同时伴有胸膜炎,咳嗽时全肺剧烈疼痛。

慢性支气管炎是咳嗽的最常见原因之一。引起呼吸道黏膜慢性或反复性分泌增加,并产生咳痰。慢性支气管炎公认的临床定义“慢性或反复性咳嗽、咳痰,至少3个月,连续两年”因此很值得把你的问题指向以下问题。

●“你咳嗽多久了?你每天都咳嗽吗?你咳出是痰或黏痰吗?是什么颜色?”

询问患者是否咳血(咯血)。支气管癌通常伴有咯血,咯血也见于肺结核。

●“你在痰中见到血了吗?”

直率地讲,咯血是纯血与痰一起咳出。但首先要明确血来自肺而不是鼻或口,或是否为呕出,出血量及持续时间。

支气管扩张的特点是咳大量痰,通常是脓性痰,而且非常讨厌。其他咳嗽的少见原因有异物吸入(患者通常感觉不适和发热)和间质性肺病(如纤维性肺泡炎)。咳嗽的不同类型见表17,咯血的常见原因见表18。

表17 咳嗽的不同类型

表18 咯血的常见原因

②咳痰 询问所有咳嗽患者是否咳痰或黏痰至关重要,痰是支气管的过量分泌,是炎症和感染的表现。你该询问患者咳痰的频率,即咳出是否困难。你还应该询问痰量及其颜色、黏稠度及气味。

●“你每天咳痰有多少——能充满一口杯还是一茶杯?”

●“痰是什么样——是稀而易流动的,还是稠厚的?”

●“痰是什么气味?”

痰的特征

●颜色 痰通常是白色或灰色,特别见于长期吸烟者。感染情况下痰的颜色会变为黄色(为含有白细胞)或绿色(绿过氧化物酶的作用)。黏稠的铁锈色痰是大叶肺炎的特征,而粉红色泡沫痰是肺水肿的表现。

●黏稠度 高度黏稠伴有痰栓是哮喘的特征,黏痰也偶尔见于呼吸道病毒感染。

●气味 臭痰见于肺脓肿或支气管扩张。

③胸痛(可参照第二章) 呼吸系统最常见的疼痛类型是壁层胸膜丰富的神经(肺没有这些的神经支配)引起的胸膜痛。疼痛在本质上局限,呈刺痛,任何贴近胸膜表面的呼吸运动,如深呼吸、咳嗽、喷嚏都可使疼痛加剧。气胸也可产生类似的疼痛。局部疼痛意味着膈胸膜受刺激,而钝痛可能代表支气管癌侵及肋骨。前胸壁疼痛伴有肋软骨连接处压痛是由肋软骨炎引起的。

该询问的问题包括:

●“呼吸时痛吗?”

●“什么样的痛疼?”

●“疼痛持续存在吗?”

④气短 多数的呼吸疾病会引起呼吸困难。确定气短和功能受损的程度(如个体能承受多大的活动量)至关重要。患者经常诉说胸闷,这可能由心绞痛或肺疾病引起。你应该让患者区分疼痛是与运动还是与气短有关,但要记得后者可能伴有心绞痛。

气短可能由以下一个或多个原因引起:

●肺通气动力改变

●肺通气不足

●气体交换(或弥散)功能改变

●肺灌注改变

气短病因详见表19。

表19 气短的病因

你应该询问患者呼吸困难的持续时间及变化。急性呼吸困难可能由肺栓塞、气胸或急性哮喘引起,然而进展性呼吸困难提示慢性气道限制,特别见于吸烟者。询问患者的日常活动有助于确定呼吸困难出现的时间,你应该询问患者能走多远,如果患者居家不出,就询问她/他上次逛商场是何时。记得要测量患者的运动能力。在很多情况下,患者配偶或伙伴会提供更多可靠的答案。

呼吸困难的变化

●“你的呼吸困难呈发作性吗?”这高度提示哮喘,特别是患者提到呼吸困难加重及恶化的因素。

⑤喘息 多数患者懂得喘息的含义,喘息是弥漫性气道阻塞,如慢性支气管炎、肺气肿和哮喘患者的常见症状。慢性支气管炎或肺气肿患者的喘息由感染所致的气道进一步狭窄引起,而哮喘的喘息由暴露于吸入性过敏原引起。单侧喘息提示肿瘤或异物所致的局限性支气管狭窄。

(2)病史的其他要点 你应该询问患者的体重,体重下降可能与支气管肺癌、肺结核有关。偶尔也与慢性气道限制相关。睡眠呼吸暂停综合征常见于肥胖患者,特别是颈围大的患者,表现为呼吸障碍、夜间不安静、鼾声响亮、白天打瞌睡。患者也许没有诉说这些因素,但询问其配偶或伙伴可以得到启示。

●“你妻子抱怨你睡眠时打鼾吗?你曾注意过你在夜间有过一段呼吸停止吗?”

询问这个问题很重要,因为慢性夜间低氧血症能导致肺动脉高压和心衰。

(3)既往史 采集准确的既往胸部外伤、手术等病史很重要。既往的结核病史很重要,你应该询问治疗的疗程和/或手术干预(如胸廓成形术或膈神经离断,这在1947年链霉素投入使用以前是治疗肺结核的常用手段)。儿童期哮喘、肺炎或百日咳病史有时与成年期后发展的胸部症状相关。胸部外伤和既往的肺炎可以解释胸部X线片的变化。

(4)个人史和社会史 被动吸烟(如在家或在工厂有别人吸烟)现今被视为肺部疾病的危险因素。家养宠物偶尔与胸部症状特别是过敏个体的哮喘有关。养鸟(如鸽子、澳洲长尾小鹦鹉、鹦鹉)患者的进展性呼吸困难提示过敏性肺泡炎,而养鹦鹉或相关的物种的肺炎,患者会增加患鹦鹉热的可能。

获得详细的职业史是必要的,你应该询问患者是否是由他/她的工作引起了疾病的症状及这些症状是否影响她/他的工作。暴露于工业有毒气体或颗粒可能是肺部疾病的病因,例如,煤矿工人患有尘肺。你也应该询问患者过去的职业——石棉肺或间皮瘤在暴露于危险因素后许多年才会发病。最后,询问可能暴露的环境也是有帮助的——切记:从事与石棉有接触的工作的人的亲属也是危险的。

(5)家族史和治疗史 哮喘具有很强的遗传倾向,你应该询问患者家族是否有特异性变态反应、哮喘或湿疹病史。而且,如果相关,你应该询问家族最近是否有结核病史。治疗史应该询问过去和现在支气管扩张剂吸入器的使用是否有效,你也应该询问过去服用阿司匹林、非甾体类抗炎药或β受体阻滞剂是否促使哮喘发作或喘息。记得既往有结核病史的患者应用类固醇治疗可能有危险。

2.体格检查

呼吸系统疾病患者可能气短,一定要牢记,不要让患者向前或向后坐。先在患者前面逐项检查,然后让患者面向前坐,在患者后面逐项检查。

切记:气短容易使人疲乏焦虑,一定要耐心对待。

社会史

一定要采集社会史,包括吸烟史。你应该证实是否非吸烟者以前吸烟,如果他/她以前吸烟,是何时戒烟的——很多患者是入院后“戒烟”的。以下是一些例子

●“你吸烟吗?”

●“你何时开始吸烟?”

●“你每天吸多少烟?”(NB:包/年)

●“你何时戒烟?”

●“你戒烟时吸多少烟?”

呼吸系统病史采集清单

●一般建议,自我介绍,与患者建立融洽的关系,切记眼神的接触。

●评估现病史(气短的持续时间、运动耐量),不要忘记询问吸烟情况。

●询问既往史,特别是儿童期的胸部疾病和既往住院史。

●询问酒精摄入/治疗和用药。

●询问社会史,如多少层楼梯,室内供暖、宠物、工业暴露、也包括吸烟史。

●询问家族史——家里有人患有哮喘或其他慢性呼吸道疾病吗?

●系统询问。

听答案!

(1)整体观察 整体观察胸廓的形状,发现不对称和畸形,如胸骨内陷、鸡胸或脊柱后侧凸(驼背)。在平静呼吸和深呼吸下观察胸部,检查两侧运动是否相等,一侧运动减弱提示该侧病变。记录胸廓是否正常膨起或胸廓是否固定及呼吸运动是否以膈肌占优势——观察呼吸频率。正常呼吸频率大约是每12次/min。

同心血管系统检查相似,呼吸系统习惯上也从检查双手开始,病人以45°头高位躺在床上。寻找杵状指,即指甲在两个方向上弯曲度增加,失去了正常的指甲角。这是由于甲床和指尖的软组织增生引起。有时指甲变化很小不易发现,在这种情况下,可以寻找钻石征(菱形征)(见图64),正常人双手指甲相对,两指甲根部之间可观察到一个小的菱形裂隙。杵状指由于指甲角丧失无法看到该裂隙。杵状指的病因很多,这里不重复了,但记得较常见于支气管癌、慢性脓胸、纤维性肺泡炎。我们也要寻找二氧化碳潴留的体征——跳跃性脉和外周静脉扩张引起的双手变暖。让患者伸出双手寻找扑动性震颤——即双手不规则的抽搐运动。二氧化碳高于正常水平会引起外周发绀。

图64 菱形征:在正常的个体当中,在指甲反折处可见菱形,如果患者的手指是棒状的,这种表现将更明显

图65 在纤维性肺泡炎中可见杵状指和外周性苍白病

检查完患者双手后观察患者面部。观察是否有中央性发绀,如口和舌发绀及是否有缩唇呼吸?这种呼吸方式在患有慢性呼吸系统疾病患者常见,由于气道不顺,他们必须这样以确保在每个呼吸周期末气道的开放,并增加氧气供应。观察患者颈部,判断是否有辅助呼吸肌参与呼吸。

当劳动或运动使所需的通气量增加时,那么吸气时胸腔内就必须产生足够大的负压,这时就需要辅助呼吸肌的参与。前斜角肌是首当其冲的辅助呼吸肌,其次就是胸锁乳突肌,在呼吸时可以看到它们收缩,而若因需要胸腔内压需大幅度下降时,肋间内肌的收缩所造成的胸壁内陷则清晰可见。

气道阻力增加和肺顺应性下降均可以增加呼吸运动做功(见表16第82页)。胸腔内压的变化形式因病因不同而各异,这一点在床边即可观察到。如果气道阻力增加(如哮喘),则呼气受阻,呼气相延长,这一点可以通过让患者快速呼气得以证明。而相反,如果肺顺应性减低(如纤维性肺泡炎),则因呼气是由肺的弹性回缩而完成,故而肺的缩小特别明显。

仔细观察深吸气时肋缘是否向外侧移动。正常情况下,吸气时肋骨向上、外移动(如同桶把),如果下部肋骨没有向外移动甚至内陷,则说明横膈较平,肺的容积已经超出正常了。

在进行心血管系统检查时,我们都会注意是否有颈静脉压(JVP)升高,而有严重肺病的患者也会因右心衰竭而出现JVP升高、踝部水肿。

最后,再检查颈前/后三角区有无淋巴结肿大,因为该区域的淋巴结是肺门部淋巴引流的第一站。然后沿气管检查锁骨上及颈部淋巴结,胸壁的淋巴结引流至腋下。因此支气管的肿瘤多转移至此,引起该区域的淋巴结肿大。触诊淋巴结时,检查者应站在被检查者的后面,用指尖进行触诊,从锁骨上窝开始,然后触诊颈根部胸缩乳突肌两侧淋巴结及下颌角处的颈静脉二腹肌淋巴结,直至下颌下淋巴结。

腋窝淋巴结检查时,把患者上肢保持轻度外展位(左手检查右腋窝,右手检查左腋窝),分别触诊前组、后组、内侧组、外侧组和尖部淋巴结(详细技巧参见本书第七章)。淋巴结异常表现为肿大,这种肿大多是不对称的,而且如果是肿瘤转移,则肿大的淋巴结多质硬而且固定。

图66 淋巴结病。如箭头所示右侧胸锁突肌边缘的模糊区

图67 腋窝淋巴结病的触诊

胸部查体的顺序为望、触、叩、听。

(2)胸部视诊 接下来就是胸部视诊,首先应该让患者取坐位,放松而且正确暴露胸部。呼吸系统疾病多为导致胸廓外形的改变。你可以先进行前后比较以发现是否存在两侧的不对称,当然也要进行侧面的观察,以观察胸廓前后径及是否存在脊柱侧后突,即脊柱前后成角所造成的胸廓前后径增大。一般情况下,健康人胸廓外形有很大的变异,因此要掌握正常范围有赖于对大量患者进行多次的观察。过度通气时,患者胸廓扩张-桶状胸-慢性气道阻塞的结果。而肺尖部的纤维化则会引起肺尖部胸廓的变平。

图68 从前后对胸部的视诊

当然对胸廓运动的检查也很重要。首先嘱患者做几次深呼吸,吸气的时候,肋骨会向上、向外移动,而且成对称性移动。而如果有慢性气道阻塞,则由于胸廓一直处于膨胀状态,胸廓的运动幅度很小。然而如果是结核后残留的不对称的瘢痕形成,则会出现一侧胸壁运动大于另一侧。在患者呼吸时注意听有无喘鸣音,如果存在上呼吸道的堵塞,则将会听到粗糙的杂音。与此同时,你还应当注意胸壁上的瘢痕是否是由外伤或手术造成的,而并非源于呼吸系统疾病。

接下来的检查只在前部和后部进行,通常我们先检查前胸然后再让患者前倾以检查后胸,这些检查包括触诊、叩诊和听诊。

(3)触诊和对胸廓扩张的评价 观察处于两侧胸锁乳突肌头部之间气管的位置,看其表面的皮肤是否有向下拖的迹象,这一现象在呼吸窘迫时常见。然后轻轻触诊气管:将右手食指和中指尖放在气管两侧,轻轻触摸气管两侧的沟以明确气管的走向,判断是否存在左移或右移。气管的偏移可以由颈部肿物造成,也可由于纵隔的移位引起。如果怀疑气管有移位,则可以通过触诊双侧肺尖部的搏动(apex beat)来判断是向左还是向右移位。

图69 胸廓的触诊

检查胸部扩张情况的方法是:将双手展平置于患者胸廓处,位置在双乳头连线稍下或乳房下(女性),两拇指指向相反,背向中线并轻轻抬起,嘱患者深吸气,观察拇指的移动,看它们移动的距离是否相同,背部的检查法同上。

(4)叩诊 胸廓的叩诊和听诊旨在双侧对比,为了不漏掉任何征象,我们要对每个区域进行系统检查。图70和图71所示为各检查区域。

图70 前面观胸部检查的区域

图71 后面观胸部查体的区域

叩诊时将一手平放在胸壁上,用另一只手中指轻轻敲打该手中指,敲打时中指垂直(剪短指甲,以免损伤),腕部放松,用腕部用力而不是肘部。

叩诊通常从双侧肺尖叩起,可以直接叩双侧锁骨,接着对双侧上、中、下三个区域进行对比,需要强调的是必须叩双侧腋下,因为右肺中叶及舌叶的病变多出现在该区域。叩诊要点在于鉴别清音的改变。正常时,肺部充满气体(中空),叩诊应为清音。如果肺组织塌陷或实变,叩诊呈实音(因为固体对声音的传导不如气体,图72),如果胸腔内积液,则叩诊浊音(原因是液体对震动的传导弱于气体,图73),若胸腔内积气,如气胸,叩诊音为过清音(图74)。各种影响叩诊音的因素参见表20。

表20 影响胸部叩诊音的因素

图72 在肺组织萎陷处,叩诊呈“实音”

图73 胸膜渗出时,叩诊因呈“浊音”

图74 气胸时,叩诊因呈清音

(5)听诊 与叩诊一样,听诊的重点也在于双侧对比(见图75)。通常使用听诊器的膜件,嘱被检者张口呼吸,从双侧肺尖听起,然后是上、中、下三带,最后是双侧腋下。听诊要反复进行,注意呼吸音的改变以及有无额外呼吸音,正常的呼吸音是肺泡呼吸音。

图75 当在萎陷的肺组织气道被阻塞时,叩诊实变音随之减小

(6)呼吸音 呼吸音是气体进出肺组织和气道时产生的,在正常肺组织中可以听到。在呼气和吸气相间没有明确的间隔,可以从听诊器膜件下直接传来。支气管呼吸音较粗,呼气相及吸气相间有间隔,且呼气相较长。它由喉发出,是气流经过声门时的嘶嘶声。可以在气管和支气管处听到。健康人只有呼气时可以听到。如果肺组织实变,则进入肺泡的气体减少或消失,相应的肺泡呼吸音减弱。而支气管呼吸音却增强而被传导致胸壁。这种呼吸音被称为支气管呼吸音,在实变的区域可以闻及。肺组织萎陷与实变有所不同,因组织萎陷,气体受阻;而实变则是指肺泡内有炎性渗出物,但气道通畅,故在萎陷区域支气管呼吸音不可闻及。

(7)语音共振 多种频率的声音会被传导到胸壁,而在不同病理条件下,这种频率会增加或降低(表20)。我们可以在听诊时让患者说“99”或发“1”的声音,进而做出判断。

正常情况下,人的嗓音用听诊器听起来是中空的,因为,低频声音比高频声音更容易传导。

在肺实变区常可以听到异常听觉语颤,通常表现为我们可以更清晰地听到患者发出的声音,这种现象称为支气管语颤。它的出现是由于实变组织有比空气更好的传导性能。如听觉语颤存在,则可以听到耳语。因为耳语的频率较高,可以清楚地传导,就如同置身于回音廊中一样。

如果有胸腔积液,则听诊器听到的嗓音音调较高,就像羊鸣一样有很重的鼻音。因为高频声音传导加强而低频声音传导减弱(“Aegophy”即羊鸣音,因其声似羊叫而得名)。

(8)触觉语颤 通过触诊我们可以感觉到胸廓的震动,虽然触觉语颤的检查多在最后进行,但也可以提前进行。这种检查旨在检查低频震动的传导,故与听诊时发现的阳性体征密切相关。胸壁对声音传导能力越强,触觉语颤就越明显,检查时将手掌平展置于胸壁上,嘱受检者发“哼”音,将图69、图70所示的各区域的触觉语颤进行双侧对比,双侧肺部的共鸣水平也需要比较。

(9)额外呼吸音 爆破音和喘鸣是最常见的额外呼吸音。爆破音的产生是由于肺泡内有气泡在液体中破裂而发出。有两种性质的爆破音,即细爆破音和粗爆破音,细爆破音的声响如同用手指在耳边捻动自己的头发一般,通常在吸气末可出现,多见于肺水肿、支气管肺炎早期(肺基地部)和肺纤维化(广泛分布)。

对呼吸系统疾病患者的护理

正确评估患者的焦虑情绪

采取坐位在床上休息

供给氧气,仅保持24%的浓度除非有其他要求

监测峰值呼气流率

定期检查呼吸频率

有必要做心电监护

每日测患者体重(在伴有心衰的病历中)

粗爆破音较为刺耳,有滴答声,多见于肺内感染和支扩。

健康人直立安静呼吸时也可在肺基底部听到爆破音,这种现象的发生是由于重力作用使得气道暂时陷闭所至,这种声音的特点是咳嗽后可消失。

(10)胸膜摩擦音 胸膜摩擦音是由发生炎症的胸膜间相互摩擦产生的,听起来像皮革间相互摩擦,多在疼痛的部位可闻及,在呼气和吸气相均可闻及。由于这种摩擦音可同衣服的摩擦音相混淆,故听诊时不可隔有衣物。

3,常见病理体征

①周围性发绀及周围静脉扩张是由COPD引起的CO2潴留的主要特征(图76)。②脊柱侧后凸常预示患者有某种呼吸系统疾病的倾向(图77)。③结核的X线表现(图78)。④肺尖部结核所致的纤维化多引起上胸部变平(图79),由于脊柱常受累,故多有成角。⑤支气管肺癌(图80)。⑥大叶肺炎患者常伴发单纯疱疹病毒感染(图81、图82)。⑦如肺组织萎陷(如气胸),则胸片上无法看到肺纹理(图83)。

图76 COPD患者伴外周静脉扩张的周围性发绀

图77 脊柱后侧凸诱发呼吸疾病

图78 结核,在肺上叶可见空洞

图79 肺尖结核。由于先前的结核靠造成拉平的顶端,伴有由脊柱弯曲引起的成角

图80 支气管肺癌左肺有一阴影

图81 大叶性肺炎,这个患者有右肺实变

图82 单纯疱疹病毒感染在大叶性肺炎患者常见

图83 右侧气胸伴肺纹理完全缺失

4.治疗和干预技巧

(1)呼气峰速(PEFR)测定 做这项检查你需要一个Wright峰速测定装置或一个便携装置,此外,还需要给每个人准备一个一次性的吹气装置。嘱被检者经口深吸气,将唇对准管道以最快的速度吹气(如同吹生日蜡烛一样),这样反复吹3次,记录最大值。这种检查方法常用于气管扩张剂(如沙丁胺醇)使用前及使用后。PEFR正常值与患者身高相关,一般来说,1.83m(6ft)男性,PEFR正常值为500~600L/min。

在正常呼吸系统检查中的发现

●观察——胸廓及呼吸运动均匀对称

●胸廓扩张均匀且对称

●气管居中

●叩诊共振音

●听诊——肺泡呼吸音,无其他音

●两肺触觉语颤均匀

动脉血气分析

动脉血气分析是呼吸系统疾病常用的检查,有助于发现潜在的病因和病情变化。

●记录吸入氧浓度。

●操作前应向患者简要说明基本的操作步骤,取得患者的口头同意。嘱患者操作过程中会感到疼痛,要尽量保持安静。

●如果做桡动脉穿刺,应先在腕部触摸到尺动脉,确认其对手掌的血运供应。你可以采取一些小的技巧来证明这点。

●用手指压住桡动脉阻断其血流,然后让患者握紧拳头尽量将手部血液排空。保持对桡动脉的阻断,让病人将手掌展开,手部血运恢复显示尺动脉的血运供应良好。

●取出已用肝素封闭的血气管,推拉活塞确认肝素已覆盖管的内壁。排空后接上针头。

●佩戴无菌手套,确认桡动脉的走行后,选取穿刺点,右手进针,同时左手的食指和中指沿桡动脉走行方向挤压血管(图84)。持续进针,直至动脉血依靠自身的压力充满血气管。

拔除针管,穿刺点用无菌棉球压迫至少3min。用塞子封闭血气管,放入冰中送检。

图84 从桡动脉抽取血气标本

●股动脉穿刺时要注意神经与血管伴行,因此靠近中线穿刺是错误的。穿刺前应备皮。用21号穿刺针做股动脉穿刺。右手持针,在左手食指与中指之间,与皮肤成90°角,向搏动处进针,直至动脉血依靠自身的压力充满血气管。其余步骤同桡动脉穿刺(图85)。

图85 股动脉穿刺

(2)吸入气雾剂的使用 支气管扩张剂与激素联合应用时,一定要先用支气管扩张剂,以保证细支气管扩张,最大限度地吸入激素。首先应向患者解释这样用药的原因,然后详细地演示下面的用药方法:

●用力震荡气雾剂,吸气后全部呼出。

●将气雾剂放入口中,深吸气。

●吸气的同时按下气雾剂活塞。

●屏气10s后呼气。

●如果需要两喷,暂停一下再重复上述过程。

如果患者无法采用口内吸入的方式,可以使用图86的装置。气雾剂连在容器的一端,患者在另一端呼吸,单向的活塞保证在患者吸气时吸入容器内的药物。也可以采用旋转式吸入器,这种装置药物输送系统在患者吸气时被吸入的气流激活,适时地释放药物。

图86 用于连接吸入器的中间装置

(3)重要实验室指标

①动脉血气分析 动脉血气分析可以指出血氧含量及动脉血酸中毒或碱中毒情况。

呼吸性酸中毒多因通气不畅引起,pH值降低,PaCO2升高,血浆HCO3-正常或上升,如果通气不畅长期存在,酸中毒多可以被机体代偿而表现为pH正常,HCO3-升高。

动脉血气参考值

参考值是从实验室得来的,但正常的血气值有一个普遍的范围是:

氧分压 12~13.5KPa(85~95mmHg)

二氧化碳分压 4.5~6.0KPa(35~45mmHg)

酸碱度 7.35~745

血浆碳酸氢根 20~30mmol/L

标准剩余碱 ±2mmol/L

氧饱和度 95%~100%

呼吸性碱中毒多有过度通气造成,pH升高,PaCO2下降,血浆HCO3-正常或下降。

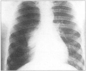
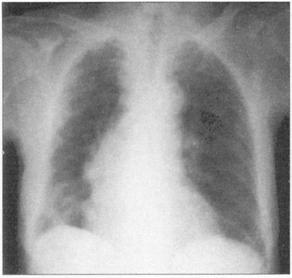
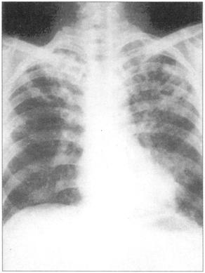
下面的图示分别阐述了各种呼吸系统疾病的特征表现:肺气肿(图87)、原发性支气管肺癌(图88)、哮喘(图89)、肺纤维化(图90)、COPD(图91)、肺结核(图92)。

图87 肺气肿

图88 原发性支气管肺癌

图89 哮喘

图90 肺纤维化

图91 COPD

图92 肺结核

(龙锦 翟振华 译)

随便看

 

离鸟网收录3541549条中英文词条,其功能与新华字典、现代汉语词典、牛津高阶英汉词典等各类中英文词典类似,基本涵盖了全部常用中英文字词句的读音、释义及用法,是语言学习和写作的有利工具。

 

Copyright © 2004-2024 vtrois.com All Rights Reserved
更新时间:2026/5/31 11:33:42