网站首页  词典首页


请输入您要查询的字词:

 

字词 肺脓肿
类别 中英文字词句释义及详细解析
释义

肺脓肿


一、概述

肺脓肿(lung abscess)是由于多种病原菌引起的肺部化脓性感染,早期为肺组织的感染性炎症,继而坏死、液化、外周有肉芽组织包围形成脓肿。临床上以高热、咳嗽、咳大量臭脓痰为其特征,X线检查显示含气液平面的空腔。根据发病原因,可将本病分为经气管感染型、血源性感染型和继发脓肿及肺癌等堵塞所致的三种;也可以根据相关的病原进行归类,有葡萄球菌性、厌氧菌性或曲霉菌性肺脓肿等。广泛应用抗生素后,大部分(约90%)肺脓肿可在急性期治愈;只有治疗不及时、不彻底而转为慢性期者,才需要外科处理。目前,手术例数已明显减少。

二、病因

肺脓肿发生的因素为细菌感染、支气管堵塞,加上全身抵抗力降低。原发性脓肿是因为吸入致病菌或由肺炎引起;继发性脓肿是在已有病变(如梗阻)的基础上,由肺外播散、支气管扩张和(或)免疫抑制状态引起。

1.吸入口咽部细菌。

(1)牙及牙周感染:神志不清、滥用乙醇或镇静药、癫、头部创伤、脑血管意外、糖尿病昏迷以及其他疾病所致的衰竭导致咳嗽反射消失而误吸。

(2)吞咽紊乱:食管良性或恶性狭窄、延髓麻痹、贲门失弛缓症、咽囊存在导致误吸。

2.各种细菌混合感染 引起坏死性肺炎。

3.远处血行播散 如尿路感染、腹部盆腔脓肿、左心心内膜炎、身体各种插管所致感染、感染性血栓性脉管炎。

4.原有的肺部病变 如支气管扩张、支气管堵塞(肿瘤、异物、先天异常)。

5.原发或继发免疫缺陷 能引起肺脓肿的细菌很多,且多为混合感染,一般与上呼吸道和口腔常存细菌一致,包括需氧、兼性厌氧和厌氧细菌:如肺炎球菌、金黄色葡萄球菌、溶血性链球菌、克雷伯杆菌、大肠杆菌、绿脓杆菌、变形杆菌等;厌氧菌有消化链球菌、脆弱类杆菌、坏死梭形杆菌等。近年来,由于培养技术的进步,经检查发现吸入性厌氧菌感染率可高达90%。

三、生理病理

根据感染途径,肺脓肿可分为以下类型。

1.吸入性肺脓肿 病原体经口、鼻咽腔吸入为肺脓肿发病的最主要原因。正常情况下,呼吸道有灵敏的咳嗽反射,可以防止误吸。但当有扁桃体炎、鼻窦炎、齿槽脓溢或龋齿等脓性分泌物及口腔、鼻、咽部手术后的血块、齿垢或呕吐物等,在神志昏迷、麻醉等情况下,或由于受寒、极度疲劳等诱因的影响,全身免疫与呼吸道防御功能降低,而易在深睡时将各种污染物经气管吸入肺内,造成细支气管阻塞,促进病原菌繁殖而发病。吸入性肺脓肿常为单发性,其发病部位与解剖结构和体位有关。右部支气管较陡直且管径较粗大,因此吸入物易进入右肺。在仰卧位时,误吸好发于上叶后段或下叶背段;坐位时,误吸好发于下叶后基底段;右侧卧位时,则好发于右上叶前段或后段形成的腋亚段。

2.继发性肺脓肿 由细菌性肺炎、支气管扩张、支气管囊肿、支气管肺癌、肺结核空洞等症继发感染所致的继发性肺脓肿;或肺部邻近器官化脓性病变,如膈下脓肿、肾周围脓肿、脊柱脓肿或食管穿孔,感染穿破至肺所形成肺脓肿。要注意的是,阿米巴肝脓肿好发于右肝顶部,易穿破膈至右肺下叶,形成阿米巴肺脓肿。

3.血源性肺脓肿 由皮肤创伤感染、痈疖、骨髓所致的败血症、脓毒菌栓经血行播散到肺,引起小血管栓塞、炎症、坏死而形成肺脓肿。本病常为两肺外周部的多发性病变,常见致病菌为金黄色葡萄球菌。

早期吸入部位细支气管受感染物阻塞,进而引起肺组织炎症、小血管炎性栓塞和肺组织化脓、坏死,最终形成肺脓肿。病变可向周围组织扩展,甚至超越叶间裂侵犯邻接的肺段。菌栓使局部组织缺血,助长厌氧菌感染,加重组织坏死。液化的脓液积聚在脓腔内,引起脓肿张力增高,最终致使脓肿破溃到支气管,脓液部分排出,形成有液平面的脓腔,空洞壁表面常见残留坏死组织。镜检示急性肺脓肿有大量中性粒细胞的浸润,伴不等量的大单核细胞。若脓肿靠近胸膜,可发生局限性纤维蛋白性胸膜炎,发生胸膜粘连;如张力性脓肿破溃到胸膜腔,则可形成脓气胸。若支气管引流不畅使坏死组织残留在脓腔内,炎症持续存在,则转为慢性肺脓肿(临床上将3~6个月或更久不能愈合的脓肿称为慢性肺脓肿)。此时,大量坏死组织残留脓腔,脓腔壁纤维母细胞增生,肉芽组织使脓腔壁增厚。在肺脓肿形成过程中,坏死组织中残存的血管失去肺组织的支持,会在管壁损伤部分形成血管瘤,此为病情反复时大量咯血的病理基础。腔壁表面肉芽组织血管较丰富,亦可引起咳脓血痰或小量咯血。肺脓肿的上述病理改变可累及周围细支气管,致其变形或扩张。

四、临床表现

1.症状 肺脓肿大多急性、亚急性起病,起始症状有畏寒、高热、咳嗽、咳黏液痰或黏液脓痰。如炎症波及胸膜,则有胸痛;病变范围广,则中毒症状重,呈全身衰弱,有气短、心跳快、出汗、食欲减退。1~2周后,脓肿破入支气管,表现为突然咳大量脓痰,每日可多达数百毫升。因有厌氧菌感染,痰有臭味,静置后分为3层,由上而下为泡沫、黏液及脓渣。脓排出后,全身症状好转,体温下降。如能及时应用有效抗生素治疗,则病变可在数周内渐好转,体温趋于正常,痰量减少,一般身体状况恢复正常;如治疗不及时、不彻底,用药不合适、不充分,或患者身体抵抗力低,则病变可渐转为慢性。有些病例的脓液破向胸腔形成脓气胸或支气管胸膜瘘,此时症状时轻时重,主要是咳嗽、咳脓痰,不少有咯血(从痰带血至大咯血),间断发热及胸痛等。因长期慢性中毒及消耗,不少患者出现消瘦、贫血。个别患者可有脑、肝、肾转移脓肿。慢性脓肿常有不规则治疗史,病变稳定时情况稍好转。

2.体征 早期病变范围小,无特殊体征,可发现肺实变体征(如呼吸音减弱、叩诊浊音、支气管呼吸音、吸气捻发音)以及胸膜摩擦音、胸腔积液、肺水肿、脓气胸体征(如叩诊浊音、纵隔对侧移位、积液处呼吸音减弱),瓮状呼吸音罕见。病程较长者多有杵状指,胸廓塌陷畸形、活动差。有脓气胸、支气管胸膜瘘者检查可见相应体征。

五、检查

1.实验室检查 急性肺脓肿血白细胞计数达(20~30)×109/L,中性粒细胞在80%~90%以上,核明显左移,常有毒性颗粒。慢性患者的血白细胞可略升高或正常,红细胞和血红蛋白减少。

2.痰细菌学检查 病原学检查对肺脓肿的诊断、鉴别诊断及指导治疗均十分重要。经口咳出的痰很容易被口腔常存菌污染,应及时做培养,否则会使污染菌在室温下大量繁殖,而难以发现致病菌。此外,痰接触空气后,厌氧菌消亡,也会影响细菌培养的可靠性。因此,急性肺脓肿的脓痰直接涂片染色可见很多细菌,如a-溶血链球菌、奈瑟球菌等口腔常存的不致病菌。即使发现肺炎球菌、金黄色葡萄球菌、肠源革兰染色阴性杆菌、绿脓杆菌等,也不一定就是肺脓肿的致病菌。

较理想的取样方法是,避开上呼吸道直接至肺脓肿部位或引流支气管内采样,例如环甲膜穿刺以细导管在较深处吸取痰液或采用经纤维支气管镜双套管防污染毛刷采取病灶痰液。但这些方法多为侵入性,各有利弊,应根据情况选用。

痰液检查应争取在应用抗生素前进行,细菌的药物敏感试验有助于选择有效的抗生素。并发脓胸时,胸脓液的需氧和厌氧培养较痰液更可靠。急性原发性肺脓肿不常伴菌血症,所以血培养对诊断帮助不大,但对血源性肺脓肿患者进行血培养可发现致病菌。

3.胸部影像学检查

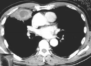
(1)X线检查:吸入性肺脓肿早期为化脓性炎症阶段,X线表现呈大片浓密模糊浸润阴影,边缘不清;或为团片状浓密阴影,分布在一个或整个肺段。此表现与细菌性肺炎相似。脓肿形成后,脓液经支气管排出,脓腔出现圆形透亮区及液平面,其四周被浓密炎症浸润所环绕。吸收恢复期,经脓液引流和抗生素治疗后,肺脓肿周围炎症吸收,逐渐缩小至脓腔消失,最后仅残留纤维条索状阴影(图1-6)。

图1-6 男性,53岁,肺脓肿

慢性肺脓肿脓腔壁增厚,内壁不规则,周围有纤维组织增生及邻近胸膜增厚,肺叶收缩,纵隔可向患侧移位,其他健肺发生代偿性肺气肿。血源性肺脓肿在一侧肺或两肺边缘部有多发的、散在的小片状炎症阴影或边缘较整齐的球形病灶,其中可见脓腔及液平面或液化灶。炎症吸收后可呈现局灶性纤维化或小气囊。并发脓胸时,患侧胸部呈大片浓密阴影,若伴发气胸则可见到液平面。侧位X线检查可明确肺脓肿的部位及范围大小,有助于做体位引流和外科手术治疗。

(2)胸部CT检查:可更好了解病变范围、部位及空腔情况。患者多有浓密球形病灶,其中有液化;或有呈类圆形的厚壁脓腔,脓腔内可有液平面出现,脓腔内壁不规则状,周围有模糊炎性影。伴脓胸者尚有患侧胸腔积液改变。

4.纤维支气管镜检查 最好在患者情况较稳定时进行纤维支气管镜检查,尽量不在高热及呼吸道炎症严重时检查。检查目的:①除外支气管内异物及肿瘤,如有异物即可取出,疑有肿瘤者行活检及刷片;②了解支气管内情况,一般可见支气管充血、水肿、炎性或瘢痕性狭窄,以便决定进一步治疗方式(已有瘢痕狭窄者,远端肺可能有支气管扩张或不张,多需要手术);③了解脓来源,明确病变部位,同时吸脓并注入支气管扩张剂及抗生素等(这种治疗性的检查每周可以进行1次。也可经支气管活检孔放入细导管至脓腔内吸脓及注药,效果更好);④细菌学诊断不清或结核不能除外者,可以从支气管深部取分泌物进行一般菌、结核培养和药物敏感试验。

5.支气管造影 肺脓肿的支气管改变是相当明显的。支气管造影可了解病变部位及范围,发现影像检查未见到或不明确的病变,对确定治疗原则及手术方式有帮助。造影能见到扩张的支气管,充盈的脓腔,支气管的扭曲变形、狭窄及支气管胸膜瘘。肺脓肿的“三多”特点在造影中可以见到,即:①多房的脓腔,由不规则的窦道相通;②多支引流,即一脓腔有1支以上的支气管引流;③多叶侵犯。造影最好在痰少、不咯血时进行,必要时通过纤维支气管镜把痰吸干净后再注造影剂,有助于较好充盈,且摄片后还可以把造影剂吸出。由于造影会患者带来一定的痛苦及危险(如导致大咯血),如准备行全肺切除,则可以不做。

六、诊断

对口腔手术、昏迷呕吐或异物吸入后,突发畏寒、高热、咳嗽和咳大量脓臭痰等症的患者,如有血白细胞计数及中性粒细胞显着增高,及X线示浓密的炎性阴影中有空腔、液平,则做出急性肺脓肿的诊断并不困难。有皮肤创伤感染和疖、痈等化脓性病灶,伴发热不退、咳嗽、咳痰等症状,加之胸部X线检查示两肺多发性小脓肿,可诊断为血源性肺脓肿。痰、血培养,包括厌氧菌以及药物敏感试验,对确定病因诊断及指导抗菌药物的选用有重要价值。

七、诊断标准

目前国内外尚无统一的诊断标准,下列诊断标准可供参考。

1.急性肺脓肿

(1)可有口腔手术、全身麻醉、昏迷、异物吸入、齿槽溢脓、扁桃体炎、龋齿、肺炎或其他部位化脓性病灶之病史。

(2)分类

1)急性吸入性肺脓肿:起病急骤,有寒战、高热(多呈弛张热型)、胸痛、咳嗽、咳大量脓痰或脓血样痰(常有恶臭),少数患者可有咯血。

2)血源性肺脓肿:多先有原发病灶,继有畏寒、高热、咳嗽、咳痰少量,少有脓血。

(3)病变范围小且局限于深部时,可无体征;病变范围较大时,局部叩诊呈浊音,语言震颤增强,呼吸音减低或增强,可闻及支气管性呼吸音或湿啰音。

(4)急性期白细胞计数及中性粒细胞增高。

(5)胸部X线检查肺部可见大片浓密炎性阴影,其中有透亮区及液平面。血源性肺脓肿则于一侧肺或两肺见多个小片状阴影或球形阴影,其中可见小空洞及液平面。

(6)痰培养及厌氧菌培养皆可得到致病菌。

(7)需与细菌性肺炎、支气管扩张、空洞型肺结核、支气管癌继发感染等鉴别。

2.慢性肺脓肿

(1)急性肺脓肿引流不畅或治疗不充分,病情迁延3个月以上而脓肿不吸收。

(2)有不规则发热、贫血和消瘦,主要是咳脓痰和常有不等量咯血。

(3)部分患者出现杵状指(趾)。

(4)周围血白细胞一般无明显变化或略有增高。

(5)胸部X线检查显示厚壁空洞,空洞周围有纤维组织增生,可有多房性透光区。有时,在病变部位合并胸膜增厚会掩盖肺内的病变,只有加滤光板进行X线和CT检查,才能显示脓肿。

八、鉴别诊断

1.细菌性肺炎 早期肺脓肿与细菌性肺炎在症状和X线表现上都很相似。但常见的肺炎链球菌肺炎多伴有口唇疱疹、铁锈痰,不会有大量脓臭痰;胸部X线检查示肺叶或段性实变,或呈片状淡薄炎症病变,边缘模糊不清,没有空腔形成。

2.空洞性肺结核继发感染 空洞性肺结核为慢性病,常有呼吸道和全身症状,而无严重急性毒性症状和咳大量脓臭痰。但在并发化脓性细菌感染时,可出现急性感染症状和咳较多脓痰。由于化脓性细菌大量繁殖,痰中难以检出结核菌,因此做痰的结核菌检查可以鉴别。如患者过去无典型的慢性结核病史和临床表现,易将结核性空洞继发感染误诊为肺脓肿,所以要细心地询问病史和辨认X线表现有无慢性结核病的病理性变化;如一时不能鉴别,可按急性肺脓肿治疗控制急性感染,其后行胸部X线检查可见纤维空洞及周围多形性的结核病变。痰结核菌亦可阳转。

3.支气管肺癌 支气管肺癌阻塞支气管常引起远端肺化脓性感染,但形成肺脓肿的病程相对较长,因有一个逐渐阻塞的过程。此病毒性症状多不明显,脓痰量亦较少。由于支气管引流不畅,抗生素不易控制炎症和发热,因此对40岁以上、出现肺局部反复感染且抗生素疗效差的患者,要考虑有支气管肺癌所致阻塞性肺炎的可能,应常规做纤维支气管镜检查,以明确诊断。支气管鳞癌病变可发生坏死液化,形成空洞,但一般无毒性或急性感染症状;胸部X线检查示空洞壁较厚,多呈偏心空洞,残留的肿瘤组织使内壁凹凸不平,空洞周围亦少炎性浸润,肺门淋巴结可能肿大,故不难与肺脓肿区分。如经纤维支气管镜肺组织活检或痰液中找到癌细胞,则肺癌的诊断得以确立。

4.肺囊肿继发感染 囊肿继发感染时,周围肺组织有炎性浸润,囊肿内可见液平面,但炎症反应相对轻,且无明显中毒症状和咳较多的脓痰。当感染控制后,炎症吸收,应呈现光洁整齐的囊肿壁。如有以往的X线影像作对照,则诊断更容易。

参考文献

1 叶任高,陆再英.内科学.第6版.北京:人民卫生出版社,2004

2 朱元珏,陈文彬.呼吸病学.北京:人民卫生出版社,2003

3 闻玉梅,陆德源,何丽芳.现代医学微生物学.上海:上海医科大学出版社,1999

4 中华医学会呼吸分会.社区获得性肺炎诊断和治疗指南.中华结核和呼吸杂志,2006,29:651~655

5 华医学会呼吸分会.医院获得性肺炎诊断和治疗指南.中华结核和呼吸杂志,1999,22:201~203

6 李家泰,吕媛.肺炎链球菌对青霉素耐药率的调查.中华医学杂志,1999,79:38~40

7 汪复,吴卫红,吴卫红.呼吸道感染患者及健康儿童中耐青霉素肺炎链球菌的调查.中华医学杂志,2000,80:749~752

8 王辉,Huebener R.北京地区肺炎链球菌的耐药性及其分子流行病学调查.中华医学杂志,1999,79:253~255

9 唐英春.耐青霉素肺炎链球菌肺炎流行病学及其治疗.中华结核和呼吸杂志,1998,21:517~519

10 蔡伯蔷.呼吸内科诊疗常规.北京:人民卫生出版社,2004

11 陈灏珠.实用内科学.第12版.北京:人民卫生出版社,2005

12 邝贺龄.内科疾病鉴别诊断学.第4版.北京:人民卫生出版社,2000

13 Overweg K,et al.Multidrugresistant Streptococcus pneumoniae in Poland:identification on emerging clones.J Clin Microbiol,1999,37:1739~1745

14 Song JH,et al.Spread of drug-resistant Streptococcus pneumoniae in Asian countries:Asian network for surveillance of resistant pathogens(ANSORP)study.Clin Infect Dis,1999,28:1206~1211

15 Thornsberry C,et al.Resistance surveillance of Streptococcus pneumoniae,haemophilus influenzae and moraxella catarrhalis isolated in the United States,1997—1998.J Antimicrob Chemother,1999,44:749~759

随便看

 

离鸟网收录3541549条中英文词条,其功能与新华字典、现代汉语词典、牛津高阶英汉词典等各类中英文词典类似,基本涵盖了全部常用中英文字词句的读音、释义及用法,是语言学习和写作的有利工具。

 

Copyright © 2004-2024 vtrois.com All Rights Reserved
更新时间:2026/4/7 2:22:58