网站首页  词典首页


请输入您要查询的字词:

 

字词 肾动脉狭窄
类别 中英文字词句释义及详细解析
释义

肾动脉狭窄


一、概述

肾动脉狭窄(renal artery stenosis,RAS)是指一侧或两侧肾动脉主干或主要分支狭窄大于或等于50%。可发生在肾动脉起始部位,主干或其主要分支是引起肾血管性高血压和缺血性肾脏病的主要原因。肾动脉狭窄的常见病因有三种,即动脉粥样硬化、纤维肌性发育异常和大动脉炎。老年人以动脉粥样硬化为主,占65%~70%,年轻人以纤维肌性发育异常和大动脉炎多见。肾动脉狭窄严重时(管腔横截面积减少≥70%)可引起顽固性高血压、进行性肾功能损害、反复发作的慢性心力衰竭或肺水肿。由肾动脉狭窄导致的高血压约占高血压患者总数的5%,是继发性高血压的常见原因之一。动脉粥样硬化导致的心脑血管疾病一直备受关注,但是由此导致的缺血性肾脏病和终末期肾衰竭直到近年才逐渐得到重视。随着生活方式的改变及人口的老龄化,动脉粥样硬化性肾动脉狭窄的发病率呈明显上升趋势,由此引发的终末期肾衰竭导致患者死亡率显着上升。因此对于肾动脉狭窄这样一种持续进展的疾病,早期诊断具有重要意义。

二、流行病学

目前缺乏普通人群肾动脉狭窄发病率的调查资料。尽管在有临床证据的冠心病或外周动脉疾病患者中,已经有肾动脉狭窄患病率资料,但在整体人群中,对肾动脉狭窄进行充分评估的研究还很少。Hansen等研究显示834例65岁以上老人的肾血管疾病的患病率是6.8%。其中5.5%为女性,9.1%为男性,男性高于女性,6.9%的白人与6.7%的黑人存在肾动脉疾病。目前认为,在年龄>50岁的终末期肾病患者的病因中,肾动脉狭窄所致的缺血性肾脏病占10%~20%,仅次于糖尿病肾病和高血压病。

三、病因

肾动脉狭窄常由动脉粥样硬化、纤维肌性发育不良及大动脉炎引起。老年患者以动脉粥样硬化为主,青年患者多见后两种病。其中我国年轻人大动脉炎发病率高。西方国家年轻人纤维肌性发育异常较多见。近年来国外文献报道,动脉粥样硬化引起的肾动脉狭窄约占所有肾动脉狭窄的90%,是首位病因。

四、病理及病理生理

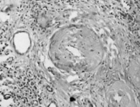
肾动脉狭窄最常见于肾动脉开口处或近端1/3血管,非开口处血管病变仅占15%~29%,肾动脉主干远端仅占5%。动脉粥样硬化引起的肾动脉狭窄主要累及大中动脉,动脉内膜粥样斑块,溃疡或血栓形成,多为双侧病变(见图5—1,图5—2)。

图5—1 肾动脉粥样硬化,管腔狭窄

图5—2 肾动脉分支内膜增厚,管腔狭窄

肾动脉狭窄的程度可分为:①<50%狭窄;②51%~75%狭窄;③76%~99%狭窄;④完全闭塞。

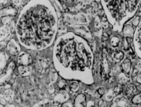
动脉粥样硬化性肾动脉狭窄可导致肾实质缺血性改变(见图5—3),主要包括三部分(见表5—1)。

图5—3 肾实质缺血性萎缩

表5—1 动脉粥样硬化性肾动脉狭窄导致的肾实质缺血性病变

图5—4 肾动脉肌纤维结构不良

在国外青年人肾动脉狭窄大多数是由于纤维肌性发育异常引起的(见图5—4)。根据动脉壁发育异常最明确的部位分为内膜、中层和动脉周围(外膜)的纤维性发育异常。中层病变进一步分为中层纤维组织增生(约占70%),中层周围组织纤维增生(约占20%)和中层增生(中层增生与内膜增生约占5%)。这些病变易导致中层组织分离并可能造成动脉瘤及动静脉瘘。

我国青年人肾动脉狭窄以大动脉炎较多见。大动脉炎患者约70%合并肾动脉狭窄,是一种非特异性炎症,急性期动脉外膜和中膜外层有浆细胞和淋巴细胞浸润,以后累及动脉全层。基本病理改变为显着的纤维组织增生,瘢痕形成,中膜弹力纤维变性和不同程度的小圆细胞浸润。晚期为动脉管壁增厚,弹性消失,管腔狭窄,可有动脉瘤形成。

肾动脉狭窄的病理生理变化主要导致慢性缺血性肾病和肾血管性高血压。由于肾动脉狭窄,肾血流减少导致肾小球滤过率下降,肾衰竭。而肾血流量的减少、肾脏实质缺血又刺激肾素分泌增加,激活肾素—血管紧张素—醛固酮系统,导致外周血管收缩,钠水潴留,血容量增加,血压升高。由于血管紧张素Ⅱ引发的出球小动脉收缩,使肾血流和滤过率得以部分维持。

五、发病机理

肾动脉狭窄的发病机理因病因不同而不完全一致。发病急或缓、单侧或双侧病变,以及病变进展快或慢等诸多因素的影响使疾病的进程非常复杂。在肾动脉狭窄形成后引发的血液动力学变化有许多共同之处。一般情况下,早期或单侧病变常呈现肾素分泌增高,引起肾血管性高血压。这是由于肾性缺血后肾素分泌增加,体内肾素—血管紧张素—醛固酮系统活化,同时激肽、前列腺素系统受影响,导致外周血管收缩、阻力增加。而细胞外液体积的增加在双侧肾动脉狭窄或孤立肾的肾动脉狭窄的病理生理变化中具优势地位。钠水潴留、血容量扩张,在形成肾血管性高血压中也起重要作用。但是部分动脉粥样硬化所致肾动脉狭窄者却血压正常,仅呈现缺血性肾脏病,缺血可逐渐导致肾小球硬化、肾小管萎缩及肾间质纤维化。

六、临床表现

动脉粥样硬化性肾动脉狭窄主要临床表现为顽固性高血压、进行性肾功能减退,部分患者有反复发作的慢性心力衰竭或肺水肿,并常合并冠心病、周围血管病变、糖尿病和高脂血症,以中老年人多见。

1.肾血管性高血压 突然发生的中等程度或严重高血压,进展迅速,舒张压升高明显(常超过110~120mmHg)为本病特点,且与狭窄程度呈正相关,并可表现为加速性或恶性高血压。高血压的发生率为45%~93%,约60%患者收缩压高于200mmHg和(或)舒张压高于120mmHg,通常一般降压药物治疗效果不佳。因为用利尿剂后血压反而升高,如应用ACEI类药物血压可下降,但出现肾功能损害加重,血肌酐升高。

2.腹部杂音 40%~80%患者腹部(上腹正中或脐两侧各2~3cm范围内),少数患者在腰部可闻及血管杂音,为高调、粗糙收缩期杂音或双期杂音。杂音的强弱与狭窄程度无关。

3.低钾血症 15%~25%患者因血浆醛固酮增多而出现低钾血症。因低钾而引起肢体运动障碍、心律失常等。

4.肾脏损害 肾动脉狭窄是中老年慢性肾衰竭的常见病因之一,占透析人群的12%~24%。当肾动脉狭窄达50%时可影响肾灌注压;达70%时肾小球滤过率下降。随着肾动脉狭窄加重或闭塞,可发生缺血性肾脏病。74%患者出现蛋白尿,或尿常规检查轻度异常(轻度蛋白尿、少量红细胞及管型)。单侧肾动脉狭窄后期高血压以致对侧肾实质损害或双侧肾动脉狭窄时,肾功能常逐渐减退,甚至进展到终末期肾功衰竭。

5.大动脉炎的表现 多见于青年女性,病变广泛,多发,临床表现多样,可见上肢收缩压明显高于下肢。肢体缺血如肢体发冷、麻木、酸痛、无力或间歇性跛行,无脉症,或脑缺血如头晕、晕厥等。大动脉炎活动期约1/3患者有发热,42.3%有血沉快,近20%患者有末梢白细胞增高等。

6.眼底改变 大部分患者有高血压视网膜病变,表现为小动脉狭窄、痉挛或硬化,病情急骤者可有视网膜出血、渗出。大动脉炎患者眼底有特异性改变,发生率为8%~12%。病变可分3期,即血管扩张期、吻合期、并发症期。

7.反复发作的肺水肿或充血性心力衰竭 肾动脉狭窄患者可能突发或出现“反复发作”的肺水肿。重度双侧或单侧肾动脉狭窄患者可能表现为容量负荷过重。单侧肾动脉狭窄患者也可能因为血管紧张素介导的血管收缩,而引起左室后负荷的增加,发生肺水肿。严重高血压导致高血压性心脏病,肾功能减退、水钠潴留、容量超负荷均可导致肺水肿及充血性心力衰竭。

8.合并全身动脉粥样硬化性血管疾病 肾动脉狭窄患者常合并出现冠心病,脑血管病及周围血管病变。肾动脉狭窄患者心血管事件风险较高,其原因可能是全身动脉粥样硬化负荷较重。较高水平的血管紧张素Ⅱ使周围动脉血管收缩,诱发冠状动脉缺血。

9.无症状肾动脉狭窄 在接受冠状动脉造影和外周血管造影的患者中存在有大量的无症状RAS,无症状的RAS也是的RAS一个临床表现。与无RAS的人群相比,无症状RAS患者的预后较差,其预后与RAS的程度相关。

七、检查

肾动脉狭窄缺乏特征性临床征象,临床漏诊误诊较多见。因此对于有诊断线索的患者应进行相关的辅助检查,以确定诊断。

1.肾脏彩超 该方法易于开展,可作为主要的筛选方法。结合B型超声和多普勒检查,可在形态学及血液动力学量方面观察,敏感性及特异性均可达80%以上。B超发现两肾长径相差1.5cm以上时,小肾可能存在肾动脉狭窄。若与彩色多普勒超声检查配合,发现肾动脉狭窄处血流加速,则提示本病意义更大。超声检查可直接显示肾动脉,并通过测量肾内外动脉血流频谱、动脉收缩期血流峰值、舒张末期血流值、阻力指数、上升加速度等参数间接判断有无肾动脉狭窄和狭窄的部位。肾动脉超声检查简便易行,无创伤,可重复,不需造影剂,是目前应用最多的肾动脉狭窄的筛查方法。但其准确性依赖于操作者的水平,并受患者的体型和是否有肠胀气的影响;对狭窄的判定仅限于定性,不能显示肾动脉的解剖结构;对副肾动脉很难检出,受全身和局部血流状况的影响,贫血、甲状腺功能亢进时肾动脉血流速度加快,可出现假阳性,腹主动脉狭窄、动脉硬化肾动脉血流减少时可出现假阴性。

内径减少≥60%的肾动脉狭窄的主要超声诊断标准为:

(1)肾动脉狭窄处出现杂色血流信号。

(2)肾动脉收缩期峰值流速≥180cm/s(正常动脉的平均流速为100cm/s);收缩期肾动脉和肾动脉开口处腹主动脉的峰值流速之比>3.5。

(3)肾内动脉端或借鉴动脉的收缩早期切迹消失,加速时间(收缩期起始至达到峰值时间)≥0.07s,同侧阻力指数<0.45。

2.螺旋CT血管成像(SCTA) 经静脉团注高密度的碘造影剂后连续快速容积扫描,将图像经计算机重建出血管影像的一种无创性检查技术。

(1)优点:对肾动脉、副肾动脉、腹主动脉均显影良好,还可判断斑块的性质,其特异性和敏感性大90%以上。

(2)缺点:需要造影剂剂量较大,常为130~150ml,注射时间20~30秒。而肾动脉狭窄患者常有潜在的肾功能受损,造影剂肾病的风险大,对血肌酐>3.0mg/dl的患者不推荐应用。

3.磁共振血管成像(MRA) 磁共振成像采用三维对比成像的方法较好显示肾动脉的结构。对肾动脉起始部和主干狭窄诊断的敏感性和特异性均较高,而对肾动脉分支狭窄诊断的敏感性较差。钆造影剂增强技术有助于显示肾动脉分支狭窄。以钆为显影剂的MRA能够在更少损伤肾脏的情况下对肾动脉、外周血管、肾实质甚至是肾功能提供较好的检查结果,但费用较高,无法对植入了金属支架的患者进行显像。将MRA和CTA与经导管的DSA相比较,其敏感性(90%以上)和诊断价值在大多数血管段均无明显差异,观察者之间和不同形态的病变间的一致性良好。

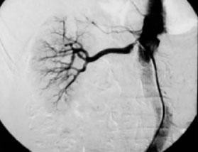
4.肾动脉造影 是目前公认的诊断肾动脉狭窄的金标准(图5—5),能准确显示肾动脉狭窄部位、范围、程度及侧支循环形成情况,还可观察肾动脉狭窄远端逆行性充盈及侧支循环并可同时进行介入治疗,结合测定两侧肾静脉血浆肾素活性判断手术疗效。肾功能不全患者宜选用非离子化造影剂,并用数字减影血管造影术(DSA),以减少造影剂用量,减轻造影剂对肾的损害。肾动脉造影是一种有创性检查,并可引起造影剂肾病和胆固醇栓塞,因此不作为常规筛选性检查。

图5—5 右肾动脉狭窄(肾动脉造影)

其应用指征为:①肾动脉狭窄介入或手术治疗前的必要准备,明确狭窄部位、程度、范围、侧支循环及伴随的其他病理情况;②临床上诊断肾血管性高血压、缺血性肾脏病、冠心病心绞痛等,经非侵入性检查提示一侧肾动脉狭窄大于50%,或有明显的血流动力学改变,或30岁以前及50岁以后出现高血压,不对称肾脏缩小,用血管紧张素转换酶抑制剂后肾功损伤。建议对可疑肾动脉狭窄的高危患者在冠状动脉造影的同时进行肾动脉造影。

5.其他 血浆肾素活性测定 部分肾血管性高血压患者外周血血浆肾素活性(PRA)增高。不推荐使用卡托普利肾脏核素扫描、选择性肾静脉肾素水平测定、血浆肾素活性和卡托普利试验肾素活性测定来确诊RAS。卡托普利核素显像适用于广大的人群,但其对于肾血管疾病的亚组人群意义较小。对于严重的氮质血症、双侧肾动脉狭窄或仅单侧肾脏有功能的RAS患者,其应用价值受到一定的限制。

八、诊断

肾动脉狭窄的诊断依赖于临床表现和影像学检查。超声检查和磁共振血管成像是很好的非侵入性筛选检查,肾动脉造影仍然是目前公认的诊断肾动脉狭窄的金指标。

目前本病的误诊和漏诊率还比较高。为了提高确诊率,对于有临床线索的患者,应考虑有肾动脉狭窄的可能,及时进行影像学检查,必要时做肾动脉造影确诊。

肾动脉狭窄的主要临床线索:

(1)<30或>50岁出现的高血压。

(2)四肢血压不对称和(或)无脉症。

(3)抗高血压治疗(尤其应用ACEI)后出现肾衰或肾功能恶化。

(4)以前稳定的高血压突然恶化;或起病后6个月内迅速进展的高血压。

(5)高血压程度严重或难以控制;3种全量抗高血压药物仍不能控制的高血压。

(6)老年人或系统性动脉粥样硬化者,最近发生高血压或不能解释的氮质血症。

(7)高血压控制不佳及肾功能不全的患者反复发生肺水肿。

(8)血压控制后反而血肌酐上升,尤其当使用ACEI或血管紧张素受体拮抗剂后。

(9)高血压患者合并有Ⅳ级以上视网膜病变。

(10)不能解释的功能性或解剖性双肾不对称(两肾长径相差>1.0~1.5cm)或无创性影像学检查提示一侧或双侧肾血流减少。

(11)低钾血症。

(12)腹部或胁部血管杂音。

老年人,如果有全身动脉粥样硬化的表现(冠心病、缺血性脑血管病、外周血管病变、糖尿病),高血压程度严重难以控制;出现夜尿多,轻度尿异常(尿蛋白少于1g/d,有少量红细胞及管型)及不明原因肾功能进行性减退,血肌酐上升时,应予进一步检查,考虑为动脉粥样硬化引起的肾动脉狭窄。

青年人,特别是青年女性,如果有全身大动脉炎的表现,四肢多发性动脉狭窄,有无脉症、四肢血压不对称、出现缺血性肾脏病表现,多考虑为大动脉炎所致肾动脉狭窄。

九、鉴别诊断

表现为肾血管性高血压者,应予原发性、继发性高血压相鉴别。表现为缺血性肾脏病者应与各种病因导致的慢性肾功能不全相鉴别。

1.肾素瘤 一般见于年轻人,有难治性高血压,血浆肾素活性增高,血钾降低,但分侧肾静脉测定显示一侧明显升高,肾动脉造影正常,肾素瘤部位血管分布可能异常。B超、CT可发现占位性病变。当瘤体<0.3cm时不易发现,此时可行分侧肾静脉肾素浓度测定。当肾素瘤侧浓度超过对侧1.5倍时有诊断意义。

2.肾动脉先天发育不良 一般为肾动脉全段纤细伴肾发育不良,肾体积缩小。

3.高血压肾病 临床上常发生于老年人,可出现高血压、少量蛋白尿、肾衰竭。但高血压肾病多有高血压病史10余年,通常降压药物治疗效果好,影像学检查无肾动脉狭窄。

4.慢性肾衰竭 慢性肾衰竭患者常有肾性高血压,或3种抗高血压药物合用血压控制不理想。但有多种不同的基础肾脏病变,双肾可缩小,影像学无肾动脉狭窄。

随便看

 

离鸟网收录3541549条中英文词条,其功能与新华字典、现代汉语词典、牛津高阶英汉词典等各类中英文词典类似,基本涵盖了全部常用中英文字词句的读音、释义及用法,是语言学习和写作的有利工具。

 

Copyright © 2004-2024 vtrois.com All Rights Reserved
更新时间:2026/4/9 14:15:34