网站首页  词典首页


请输入您要查询的字词:

 

字词 陈旧性脊髓损伤的诊断
类别 中英文字词句释义及详细解析
释义

陈旧性脊髓损伤的诊断


与急性脊髓损伤的诊断相比,陈旧性脊髓损伤更强调神经系统的体格检查,而影像学检查、电生理检查对明确脊柱脊髓的形态结构及脊髓神经的功能,指导临床治疗及预后有更重要的意义。

一、体格检查

详细的全身各系统的体格检查是十分必要的。要注意有无体温、体表皮肤、呼吸系统、泌尿系统等常见的陈旧性脊髓损伤并发症发生。而神经系统的检查尤为重要。

当瘫痪病人就诊时,要判断其脊髓损伤是完全性还是不完全性的,对治疗和评估预后有指导作用。脊髓完全横断后,受损平面以下运动、感觉和反射全部消失。如神经功能恢复为一个脊髓节段以上时,可判断为不完全损伤。完全性和不完全性脊髓损伤的鉴别如表11-1所示。

表11-1 完全性和不完全性脊髓损伤的鉴别

有关脊髓损伤的分类方法常用的有Frankel功能分类法和美国脊髓损伤协会(ASIA)分类法,均已被广泛应用于临床及科研工作中,详见表11-2、表11-3。

表11-2 Frankel功能分类法

表11-3 美国脊髓损伤协会(ASIA)分类法

通过以上检查,首先明确患者为完全性还是不完全性脊髓损伤,再通过功能分类判断脊髓损伤的恢复情况。在不完全性脊髓损伤中,要明确感觉平面和运动平面恢复情况是否一致;如不一致,要明确哪种恢复较好,感觉和运动平面相差几个神经节段,从而判断脊髓损伤或受压迫的平面及部位。根据脊髓解剖可推知,感觉恢复好者表明脊髓前方可能存在压迫;反之,运动恢复好者,压迫来自脊髓后方。恢复相差节段越多,可提示减压术后预后越好。不完全损伤的病例中,若初始阶段恢复明显,而后停顿,常提示有妨碍恢复的因素存在,如压迫等,再行减压术可能获得良好效果。

在完全性脊髓损伤中需明确感觉运动平面是否一致及截瘫平面与骨折平面是否一致,以判断是否混有根性损伤。神经根压迫性损伤在解除压迫后可能获得进一步恢复。

马尾神经损伤多为不完全性损伤,且已属周围神经范畴。解除压迫或吻合修复常有一定的功能恢复。

二、X线检查

常规X线平片作为脊柱损伤的基本检查手段,其优点为价格低廉、诊断快捷准确,椎体及附件骨折、脱位或半脱位在X线平片上多能明确显示。一般爆裂骨折在正位平片上显示椎体宽度增加,高度缩小,椎体侧弯,椎弓根间距增宽或椎弓根变形,边缘不规则,一侧椎体边缘呈粉碎性骨折,周围有碎骨片,骨折线较急性期模糊或消失,小骨碎片吸收或已愈合。侧位片上见椎体明显后突畸形,棘突间距增宽,椎体可见纵或横形骨折线或明显楔形变,椎体后缘线的后移、旋转或消失是诊断后缘终板骨折的有力证据;椎体后缘不连续,断裂,后缘成角且骨块后移突入椎管,椎体后缘密度减低,所以异常的后缘线说明碎骨片后突压迫椎管,影响椎管通畅。

但X线检查对观察骨折的细节、椎管受累的程度等方面还存在一定的限度。X线平片软组织分辨率低,无法观察脊髓及软组织损伤、神经受压程度等,给临床治疗带来一定困难,此种情况下,需行CT或MRI检查。

三、CT与MRI检查

(一)CT检查

CT诊断脊椎骨折明显优越于平片。CT能显示终板的粉碎性骨折和椎体前后方向的纵行骨折。椎板骨折线通常靠近与棘突底部交界处,小关节脱位和骨折分离以及横形贯穿骨折提示脊柱损伤的旋转外力。CT可清晰地显示突出的骨碎片对椎管的压迫程度,初步评价椎管狭窄及脊髓受压的情况。在二维和三维CT重建中可更为清晰地显示骨折、骨块、脱位及椎管情况,为临床诊断和制定手术方案提供有力的参考。

CT扫描和MRI对脊椎骨折检查有互补作用。CT能显示终板的粉碎性骨折和椎体前后方向的纵行骨折。椎板骨折通常靠近与棘突底部交界处,CT可清晰显示突出的骨碎片对椎管的压迫程度。CT扫描显示椎弓根、横突骨折及椎骨碎骨块后突较MRI清楚。MRI可显示CT所见到的骨折,但椎弓根及横突骨折不结合CT观察则容易遗漏。CT未能显示脊髓本身病变,而MRI能直接显示脊髓损伤的各种病理改变是其最大的优点,尤其是对后柱稳定的脊椎骨折,MRI亦能显示CT不能显示的脊髓损伤;显示其他软组织损伤的能力MRI亦较CT强。因此,CT及MRI的联合使用,对陈旧性脊椎骨折脊髓损伤的判断有互补作用。

(二)MRI检查

MRI显示脊柱骨折不如CT直观、准确(显微骨折除外),因为它的图像显示骨折线因发生的部位和病理演变过程不同而在不同部位和各个时间表现不一,但均取决于毗邻松质骨或皮质骨的信号强度,可表现为明亮或暗淡的线样结构。皮质骨内骨折线容易认识,边界清晰锐利,几乎与CT相似;松质骨内骨折线由于椎体碎裂信号强度不均匀而表现为模糊不清的阴影,显示不理想。对附件骨折的发现MRI亦不如CT,胸腰段脊柱附件在周围韧带、脂肪、肌肉的衬托下,MRI显示骨折相对容易,颈段附件因本身骨结构体积较小,且无良好周围衬托,如无CT作比较,横切面MRI图像则难以显示骨折。但脊柱仅有显微骨折时,MRI却可以根据其早期椎体松质骨内充血的低信号影及前或后纵韧带下的高信号血肿影来明确诊断。

MRI的矢状面像清楚地显示脊柱序列,能敏感直观地发现脊柱脱位、半脱位、椎间小关节脱位或绞锁;且能直接表现脊柱各支持韧带的完整性。而这些韧带结构完整与否对脊柱稳定起重要作用,因此MRI十分有助于脊柱稳定性的估价。而CT矢状重建图像质量较差,空间分辨率不高,难免遗漏脊柱半脱位;且它不能显示韧带结构,对脊柱潜在力学上不稳定只能作间接推测。

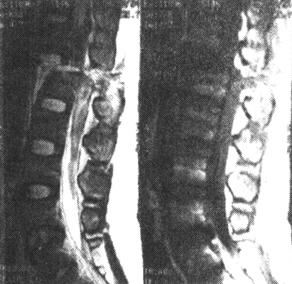
胥少汀对60例陈旧性脊髓损伤的MRI表现作了分析,并将其总结为以下7型:①脊髓与硬膜横断型。伤段脊髓与硬膜囊连续中断。在T1加权成像见脊髓断裂,断端萎缩呈低信号;T2加权像硬膜囊呈两个盲端,在横断面上脊髓信号消失(图11-1)。②脊髓萎缩型。T1加权成像脊髓信号明显变细长达数个脊椎节段,横断面脊髓信号仅占椎管前后径的1/3(图11-2)。③脊髓结构严重紊乱(变性)型。T1加权成像脊髓伤处信号低,斑点不匀;T2加权成像高信号(白),横断面上脊髓信号不清(图11-3)。④脊髓受压型。由于椎骨或椎间盘压迫脊髓变形,T1及T2加权成像上脊髓本身信号无明显改变(图11-4)。⑤脊髓囊腔型。T1加权成像上脊髓内有椭圆形或长条形低信号区,大小不等;T2加权成像为高信号,横断面脊髓内有中空囊腔。⑥脊髓结构轻度紊乱型。T1加权成像伤区信号略低;T2加权成像上信号不匀,斑点状。横断面脊髓信号不匀。⑦马尾紊乱型。T1加权成像马尾走行紊乱,不匀,混有长条或圆形信号;T2加权成像为高信号,横断面马尾不匀。

图11-1 横断型

图11-2 萎缩型

图11-3 紊乱型

图11-4 受压型

四、诱发电位检查

自1973年Perot首先阐述了躯体感觉诱发电位SEP对脊髓损伤患者检查的意义以来,SEP就用来检测脊髓功能,反映的是脊髓的感觉传导功能,并不能直接反映脊髓的运动传导束的功能,其理由是凡足以对运动传导束造成损害的操作也足以对感觉传导束造成影响。1985年Barker等发明无痛、非侵入性的经颅磁刺激技术之后,运动诱发电位MEP可直接检测脊髓运动传导束功能而广泛用于临床,但二者的使用以往均侧重于对脊髓损伤的诊断及预后。SEP最早用作评价脊髓传导功能的指标有其局限性,如其潜伏期和波幅受外部因素影响较大,波幅较小,需数百次叠加后平均。尽管SEP具有相对客观性,但临床及实验研究中SEP作为定位及疗效判断已为很多学者所采用。Restuccia等也报道,对不同水平脊髓损伤患者进行SEP检查,发现完全截瘫者SEP消失;部分截瘫者SEP潜伏期延长,波幅消失。MEP是刺激中枢神经组织并在脊髓远端、外周神经或肌肉记录到的电信号,能直接反映脊髓下行传导束或外周运动神经的功能状态。全瘫患者的MEP消失;不全瘫患者中,靶肌肌力正常者其MEP正常,而肌力减弱或消失者,其MEP则大多数异常或消失,且与肌力减弱的程度成正比,证明MEP能直接、准确地反映脊髓的运动传导功能正常与否,补充了SEP的不足。任守松等发现,脊髓损伤后MEP的潜伏期和波幅均有瞬时改变,而且短时间内不能恢复;而SEP的波幅变化并不大,从波形的表现来看,MEP也更加清晰而容易判断,证明MEP比SEP表现得更加敏感和准确。由于脊柱前柱和中柱的损伤较后柱损伤机会多,因此脊髓腹侧包括锥体束在内的神经轴索远比其背索更容易受损伤,更何况感觉传导束内较细的神经纤维对外伤的耐受性更强,因而两者的损伤程度并不一定平行。临床经常可见,SCI患者的皮肤感觉存在,而运动功能完全丧失。仅少数患者后柱损害较前柱和中柱重,临床表现为脊髓运动功能残存,而感觉功能丧失。但对于SCI患者来说,运动功能的恢复较感觉功能的恢复更为重要。因此在SCI后对脊髓功能的评定以及疗效的判断,MEP检测能直接反映脊髓的运动传导束的功能,同时在治疗中判断疗效及预后特别是评估运动功能的恢复有着重要参考意义。

陈旧性脊髓损伤,神经症状已基本稳定,只有将MEP与SEP联合应用,才能完整、准确地反映脊髓神经功能情况,从电生理角度对SCI患者脊髓功能进行全面评估,对判断脊髓损伤程度有参考意义,为疗效及功能判断提供客观依据,值得临床及实验进一步研究。

五、尿流动力学检查

陈旧性脊髓损伤患者长时间的神经源性下尿路功能障碍使其极易反复出现尿路感染、结石、输尿管返流、肾盂积水,乃致肾功能衰竭危及生命。泌尿功能康复应是脊髓损伤患者康复目标的最主要的组成部分。

近年来,由于电子技术及医疗器械的迅速发展,尿流动力学检查已广泛地应用于临床,成为目前对膀胱尿道功能及形态最为全面的检查方法,是对脊髓损伤患者的常规检查技术。据此对膀胱尿道功能状态进行分类,并为各种原因造成的神经性膀胱尿道功能障碍的诊断、治疗及疗效评价提供更多的客观指标和依据。

脊髓损伤可直接损害脊髓内有关的排尿中枢或/和损伤脊髓神经通路,从而引起神经性膀胱尿道功能障碍。不同节段及程度的脊髓损伤,其膀胱尿道功能障碍的表现也不同,需进行尿流动力学检查进一步判断。Wyndaele指出,尿流动力学检查对脊髓损伤患者有以下作用:①寻找最佳期的膀胱排空方式;②评价膀胱颈的功能;③评价逼尿肌和尿道外括约肌的功能及相互间的协调机能;④选择治疗方法及疗效评价等。尿流动力学检查主要包括:①各种压力测定,如膀胱压、逼尿肌压、腹压及尿道压等;②尿流率测度;③压力-尿流率-肌电图同步测定;④同步影像-尿动力学检查等。不同脊髓损伤部位、不同时期的典型尿流动力学表现不同。

对于陈旧性脊髓损伤,脊髓损伤平面以下分离的、未损伤的脊髓功能逐渐恢复。通常最早恢复的是肛门皮肤反射及球海绵体反射,随后逼尿肌出现反射性活动。

(一)T6以上脊髓损伤

植物神经反射正常情况下,所有的内脏血管反射均在脑干的血管运动中枢整合,维持血压正常。T6以上脊髓损伤后,血管运动中枢的整合作用丧失。当膀胱或直肠受充胀刺激时,可增加脊髓交感神经反射而诱发植物神经反射亢进,患者可出现阵发性高血压、脉压增大、严重头痛、面部潮红和出汗、鼻塞、恶心及心动过缓等。

逼尿肌-尿道外括约肌是位于桥脑内的网状结构,在正常排尿反射时,起协调作用,即逼尿肌收缩时,尿道外括约肌及盆腔底部肌肉协同松弛,完成排尿。骶上脊髓损伤后,这一协调作用丧失,排尿时,逼尿肌反射性收缩,而尿道外括约肌不能协同松弛,产生功能性排尿梗阻,称为逼尿肌-尿道外括约肌协同失调(DBD)。脊髓损伤平面越高,发生率也越多。Blaivas将DSD归纳为3类:①协同失调在逼尿肌刚开始收缩时立即出现,逼尿肌压进一步升高时,括约肌突然松弛,出现排尿,逼尿肌压迅速下降,残余尿一般较少,约占30%;②逼尿肌收缩期间,括约肌为阵发性收缩,表现为间歇性排尿,约占15%;③整个逼尿肌收缩期间,括约肌持续性收缩,以致排尿很不彻底,残余尿量多甚至有尿潴留,约占55%。

尿流动力学表现为:①由于逼尿肌反射恢复及脊上排尿中枢对逼尿肌核失控,出现逼尿肌反射收缩压力大于1.47kPa,称为逼尿肌反射亢进,这种收缩不能用意识抑制。膀胱压力升高但不能持久,膀胱感觉消失,膀胱容量减少,呈低顺应性膀胱,可有不等量的残余尿。②最大尿道压及尿道闭合压升高。③若同步的EMG显示逼尿肌收缩排尿时,尿道外括约肌肌电活动不消失反而增强,为典型的DSD征象。④影像/尿流动力学联合检查可见逼尿肌反射性收缩时,膀胱颈关闭,EMG示肌电活动增强,无排尿;而逼尿肌压下降时,膀胱颈开放,EMG示肌电活动消失,出现短暂的排尿。⑤P-Q图呈高压低流曲线。⑥酚妥拉明试验呈阳性。

(二)T6~T10脊髓损伤

骶髓排尿中枢失去了脊上排尿中枢的控制与调节,但与影响排尿的交感神经中枢(T11~L2)、阴部神经中枢(S2~S4)之间的反射弧均完整存在。因此,逼尿肌收缩,压力上升,可使阴部神经核及胸腰段交感神经核兴奋,出现逼尿肌-内或/和外括约肌协同失调。而脊髓内大部分交感神经元仍受脑干血管运动中枢控制与调节,所以,逼尿肌收缩,膀胱压力升高一般不会诱发植物神经反射亢进发作,但血压可轻度升高。尿流动力学表现与T6以上脊髓损伤的检查结果大致相同。其主要区别在于植物神经反射亢进的发生率大大下降,其次是DSD的发生率也呈降低。

(三)T11~L2脊髓损伤

胸腰段脊髓损伤时,控制膀胱尿道的交感神经中枢(T11~L2)受损,因此,膀胱颈及近端尿道的肌肉松驰,不出现逼尿肌-内括约肌协同失调,此点为与胸中段以上脊髓损伤可致逼尿肌-内括约肌协同失调的主要区别所在。但大部分交感神经元仍受中脑血管运动中枢调节,故不会出现植物神经反射亢进。骶髓内的逼尿肌核和阴部神经核为正常却失去了脊上排尿中枢的控制,常发生逼尿肌反射亢进。Pesce F报告与胸-腰段脊髓损伤有关的排尿功能障碍中,54.3%的患者为逼尿肌无反射型,45.6%的呈逼尿肌反射亢进型,后者中70%有DSD。因此认为胸-腰段脊髓损伤患者,仅从损伤部位及神经系统检查不能准确诊断膀胱尿道功能障碍类型,需进行尿流动力学检查。尿流动力学表现为:①既可呈逼尿肌反射亢进,也可出现逼尿肌无反射,因人而异;②膀胱压及近端后尿道压低于正常,但最大尿道压及尿道闭合压正常或稍低于正常;③酚妥拉明试验为阴性;④同步影像/尿流动力学检查示造影剂在逼尿肌收缩时,可进入后尿道而在膜部尿道受阻;⑤P-Q图依据逼尿肌反射类型不同而不同。可高压低流,亦可低压低流。

尿流动力学检查为正确理解每个患者神经源性下尿路功能障碍的特殊性,针对性地选择康复手段提供了可靠的依据。

随便看

 

离鸟网收录3541549条中英文词条,其功能与新华字典、现代汉语词典、牛津高阶英汉词典等各类中英文词典类似,基本涵盖了全部常用中英文字词句的读音、释义及用法,是语言学习和写作的有利工具。

 

Copyright © 2004-2024 vtrois.com All Rights Reserved
更新时间:2026/4/5 16:14:47