网站首页  词典首页


请输入您要查询的字词:

 

字词 骶椎
类别 中英文字词句释义及详细解析
释义

骶椎


骶椎骨折和腰骶椎脱位大约占所有脊柱骨折的1%,它们经常与骨盆骨折相伴随,并且经常被忽视。造成这些骨折最常见的原因是机动车事故和坠落伤,对多发伤患者需要高度警惕有骶椎骨折,应该细心检查这些患者是否有神经根功能障碍的表现,如肛周感觉减退和直肠括约肌功能障碍。踝反射减弱和阴茎球海绵体反射消失也提示有骶神经根的损伤。

骶椎骨折分为直接创伤引起的骶椎骨折和间接创伤引起的骶椎骨折两类。直接创伤骶椎骨折最常见的原因是枪弹伤,这种损伤大多数是结构稳定的。直接、严重的钝性创伤可以导致骶椎粉碎性骨折,通常伴有骶神经根损伤。低位的横向骨折是由于尾椎直接受力引起,导致骶尾椎骨折块向前移位。大多数的骶椎骨折都是由于间接损伤引起的,并且90%以上伴有骨盆骨折,这些损伤中有25%~50%合并有神经损伤。

Denis设计了一种分类系统,将骶椎分成3个区:①骶骨翼区;②骶孔区;③中央骶管区(图13-56)。在他报告的236例患者中,神经损伤的发生率为32%,骨折在1区时神经根损伤为5.9%,在2区神经损伤为28%,而在3区神经损伤为87%。骶孔是骶椎中最薄弱的结构。

图13-56 Denis骶骨骨折分区:Ⅰ.骶骨翼区;Ⅱ.骶孔区;Ⅲ.中央骶管区

伴有不稳定性骨盆骨折的骶椎骨折可以通过骨盆外固定架或内固定成功地进行治疗。骶神经根受压、骨折畸形和骨痂引起的迟发性神经损伤并不少见。手术指征为:患者有神经功能障碍,有确切的骨折片或骶椎畸形压迫神经和有慢性疼痛。骶椎椎板切除术可以探查支配下肢远端的下位腰椎和上位骶椎神经根及控制生殖器、膀胱、肛门和直肠功能的下位骶椎神经根。

直肠和膀胱功能恢复的预后是不确定的,其恢复程度决定于神经损伤是因为神经直接受压迫、牵拉损伤还是撕裂损伤引起的。腰骶椎脱位可以通过椎弓根螺丝钉得到有效的固定。骶椎椎板切除、减压和骶神经成分探查的效果是满意的。但是无论通过哪种治疗,直肠和膀胱控制功能的恢复都是不满意的。我们发现骶椎椎板切除在清除血肿、探查神经根、从椎管内去除骨折片和改善或纠正骨畸形等方面是有帮助的。

骶椎骨折的内固定手术技术要求较高,并且依赖于骨的质量和脊柱外科医生的经验。可能出现性功能和直肠及膀胱控制功能障碍这些长期并发症。对于这些少见的但可以引起功能障碍的损伤,治疗应该因人而异。

一、腰骶关节复位内固定术

(一)Galveston内固定术

1977年美国的Allen医生在Luque技术基础上,将2根Luque棒延伸固定到骨盆上,并用钢丝将此两棒固定到棘突两边椎板上,提供牢固的内固定。采用椎板下钢丝固定,应力分散,固定可靠。但内固定本身无矫形功能,且椎板下钢丝操作复杂,危险性大,固定节段长。Galveston适用于腰骶关节脱位及任何需要将腰椎融合固定到骨盆上的病例(图13-57)。器械包括直径5~6mm的长Luque棒2条,0.8~1.2mm各种直径的钢丝。

图13-57 Galveston系统

(1)麻醉、体位:常用全身麻醉或硬脊膜外围滞麻醉。俯卧位,腹部悬空。

(2)入路:做L3~S2的后正中直线切口。切开皮肤、皮下组织,显露腰背筋膜。紧贴棘突两侧切开腰背筋膜及棘突骨膜,行椎板骨膜下剥离,向两侧剥离骶棘肌至小关节外侧缘和横突基底,显露L3~S2棘突椎板。骨膜下剥离臀肌显露髂嵴后部1/3及髂骨外板,直至术者的手指能触及坐骨切迹边缘,清楚解剖出髂后嵴。

(3)髂骨钻孔:在骶棘肌下面,S1~S2棘突间中点相对应的髂骨后嵴上近骶髂关节处打孔。先取一根骨圆针沿坐骨切迹上方1.5cm处插入髂骨内外板之间,钻入6~10cm,注意勿误入骶髂关节间隙,不要穿透髋臼顶。

(4)弯棒:测量几个距离,即钻入口至S1棘突距离(骶段),一般为1.5~2.0cm,插入髂骨内长度(髂段),一般7cm左右(6~10cm,不能少于6cm),L3至S1距离(腰段)。然后取两根长60cm,直径5~6mm的Luque棒,按上述测得的距离弯棒,而且髂段与骶段夹角是45°~65°(在近矢状面上),腰段与骶段夹角为90°(在额状面上),再将腰段棒在矢状面上预弯出与腰前凸相一致的弧度。

(5)椎板下穿钢丝:切除L3~S1之间所有的棘突见韧带、黄韧带,直至显露硬膜外脂肪。做小关节融合术。然后于L3~L5间每一个棘突椎板下,穿过双股直径为1.2mm的钢丝备用。

(6)复位固定:先插好预弯好的金属棒的髂段,再将腰段棒放好,此段下端应与两侧髂后嵴的连线垂直。提拉L5棘突整复脱位,然后先用穿好的钢丝固定金属棒于L5上,再依次拧紧其相邻钢丝,利用弯好金属棒弧度及横向钢丝拉力,矫正脊柱的前凸畸形,重建脊柱的生理弧度。

(7)植骨:于两侧髂骨后部金属棒上方取骨,在L5/S1处多植骨,此处易发生假关节。

(8)术后处理:术后不需石膏外固定,患者能早期下床活动。

(二)椎弓根螺钉内固定术

所有的椎弓根螺钉内固定系统都可用于治疗腰骶关节脱位。椎弓根螺钉系统提拉复位效果好,固定坚固,可进行短节段固定,也可根据病情向上或下随意延长。

椎弓根螺钉手术方法详见上文。S1螺钉的进针点位于S1关节突软骨面中点上方2mm处,方向为尾端倾斜35°~45°,指向S1前角,稍向内侧倾斜(图13-58)。螺钉长度30~40mm。

图13-58 S1椎弓根钉进针点和角度

对于腰骶椎脱位,植骨可采用横突间植骨融合。但最好采用椎体间植骨融合,使用椎体间融合器。椎间植骨的融合率一般可达到90%~95%。

二、骶髂关节复位内固定术

多数骶髂关节脱位宜采用非手术治疗,用伤侧下肢纵向骨牵引整复脱位。但对骨盆垂直剪力型骨折或脱位时骶髂关节内夹有断裂的韧带或骨折碎片者,治疗难以奏效。而后骨盆的外固定技术则仅是用于骨盆损伤早期的急救处理,不宜作为骶髂关节脱位的长期固定手段。非手术治疗所需时间长,骨折无法准确复位,有时可有复位不全或再脱位,可引起诸多并发症和后遗症,如:骨折不愈合、延迟愈合、骶髂关节骨关节炎、骨盆畸形、双下肢不等长,以及长时间卧床造成的泌尿系、呼吸系感染等。

对于双侧骶髂关节脱位,闭合复位失败的单侧严重脱位,可以进行切开复位内固定。常用的手术方法是Marcas手术、骶髂关节螺钉固定术。

(一)Mareas手术

(1)麻醉和体位:使用全身麻醉或硬脊膜外阻滞麻醉。患者俯卧位,骶髂部垫枕,使骶髂部抬高。

(2)手术方法:在双骶髂关节后侧各做一纵行切口,显露髂嵴后段及髂骨翼。先做双侧股骨髁上牵引,再用单齿拉钩绕过一侧骶骨翼的顶端,将骶骨向背侧牵拉。可在手术室安装滑车,与手术台上的无菌牵引绳连接做持续牵引。骶骨将被拉向下方和背侧而获得复位。双侧各用1~2枚直径6.5mm的松质骨螺钉,从髂骨外板向前内方斜行,经骶髂关节,拧入骶骨翼。再用2根斯氏针紧贴骶骨背面,水平地穿过双侧髂嵴,用钢丝成8字形缠绕斯氏针的头尾端,使之横向加压,犹如张力带固定。亦可用两端带有螺纹和螺丝帽的横栓,同法横行穿过双侧髂骨,拧紧螺丝帽从双侧加压(图13-59)。

图13-59 Marcas骶髂关节固定术,使用两端带螺纹的螺栓固定

(3)术后处理:卧床6周,待骶髂韧带修复牢固后下床进行功能锻炼。

(二)骶髂关节螺钉内固定术

1989年Matta和Saucedo报道了以骶髂拉力螺钉固定后骨盆环的技术。随着透视技术的进步,螺钉固定后骨盆环损伤逐渐显示其优势。它具有操作简单、固定可靠、创伤小、失血少等优点,有利于患者康复。骶髂螺钉并发症包括固定失败、置位不当、神经损伤、感染、后骨盆复位不佳等。Routt报道植入244枚螺钉中有5枚(2.05%)错位。如果螺钉超过对侧骶嵴,就将威胁临近的血管和神经结构。穿出的螺钉尖可能造成潜在的髂血管侵蚀。

术前进行肠道准备。术中患者俯卧位。切口自髂后下棘至髂后上棘,再沿髂嵴向前达其中点,切开皮肤及皮下筋膜。沿髂骨外板骨膜下剥离,显露髂骨外骨面,髂后上下棘移行的转折处即为骶髂关节的对应部,自此钻入克氏针,方向垂直骶髂关节,且超过S1椎体的中线。X线透视正侧位以确定克氏针的位置,将2枚直径6.5mm的中空松质骨拉力螺钉分别植入S1、S2椎体。如果使用单枚螺钉,则植入S1椎体。

术后处理:术后第1天即允许患者半卧位,肌肉力量训练在术后第1天进行。第3天即开始扶拐不负重或部分负重行走。持续抵抗重力训练6周,随后逐渐过渡到完全负重,争取在术后3个月弃拐独立行走。

图13-60 Depuy的ISOLA骶髂关节螺钉

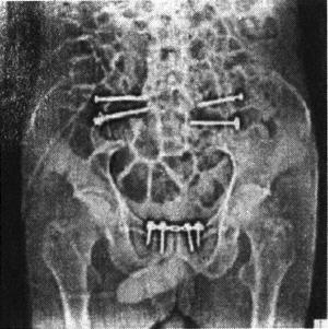
图13-61 骶髂关节螺钉固定术后X光片

随便看

 

离鸟网收录3541549条中英文词条,其功能与新华字典、现代汉语词典、牛津高阶英汉词典等各类中英文词典类似,基本涵盖了全部常用中英文字词句的读音、释义及用法,是语言学习和写作的有利工具。

 

Copyright © 2004-2024 vtrois.com All Rights Reserved
更新时间:2026/4/8 2:54:40