网站首页  词典首页


请输入您要查询的字词:

 

字词 养分主动吸收
类别 中英文字词句释义及详细解析
释义

养分主动吸收active uptake of nutrient

植物逆电化学势梯度吸收养分的过程。自发的离子运转总是从高电化学势的部位转运到低电化学势部位,其动力为膜两侧的电化学势梯度。而逆电化学势梯度转运就需要消耗能量,其动力由植物细胞代谢提供,故主动吸收养分是与代谢紧密联系的过程。主动吸收亦称主动运转(active transport)。
主动吸收的特点
主动吸收的动力为代谢能,是逆电化学势梯度吸收,故具备下列特点。
可从稀溶液中积累离子 从丽藻(Nitellaclavata)细胞液与其周围池塘水中各种离子的浓度比值(见表)可见,其细胞液中一般离子的浓度都远高于周围池塘水中的浓度,甚至高达千万倍。例如,K+为1065倍,H2PO-4为18050倍,只有NO-3未在细胞内积累,可能NO-3吸入细胞后即参与氮代谢过程而转化为其它含氮化合物。


丽藻细胞液内的各种离子与其周围池塘水中各种离子浓度的比值


离 子细胞液中的离子浓度/池塘水中的离子浓度
H2PO4-
K+
Cl-
Na+
SO42-
Ca2+
Mg2+
NO3-
18050.0
1065.0
100.5
46.1
25.8
13.17
10.47
0.0

选择吸收 同一植物从环境中吸收各种养分的比例不同,如图1所示。丽藻及法囊藻液泡内各种离子的浓度与其周围环境中有很大差异,丽藻液泡内积累了大量的K+和Cl-,而池水中K+和Cl-的含量则很少,特别是K+;海水中有大量的Na+,而法囊藻液泡中的含Na+量则远较海水中为少,海水中Mg2+的含量也明显较法囊藻液泡内多,而海水中含K+量虽然很低,在液泡内却积累了大量的K+,这些都说明了植物吸收养分有选择性。


图1 丽藻及法囊藻液泡内各种离子的浓度与其介质中离子浓度的比较


有较高的温度系数 某过程的温度系数(Q10)为温度每增高10℃,该过程的速度增加的倍数,可用下式表示:



式中 R1为温度在t℃时该过程进行的速度;R2为在t+10℃时该过程的速度。主动吸收的温度系数约为2~3,而被动吸收的温度系数仅略大于1。因为主动吸收是与代谢过程相联系的,参加反应的分子或离子需要一定的活化能。
需要O2供应 主动吸收所需的代谢能主要由有氧呼吸提供,在缺O2条件下,有氧呼吸受到抑制的同时,主动吸收亦被抑制,而被动吸收则不受影响。
为代谢抑制剂所抑制 用氰化物或叠氮化钠等代谢抑制剂处理根,在抑制根系代谢的同时,其主动吸收养分的过程亦被抑制。
主动吸收的机理 代谢能启动植物主动吸收养分的机理,较多的学者同意质子泵ATP酶(H+ pumpATP ase)学说。在外界溶液中离子浓度低时,根吸收离子是直接与根内ATP含量及膜内H+-ATP酶活性相联系的。该学说认为离子逆电化学势梯度运转所需能量由膜内H+泵ATP酶提供。离子通过根细胞质膜内流的可能机理如图2所示。质膜H+-ATP酶主动从细胞质向外泵出H+,产生质子动力(proton motiveforce),启动无机离子包括K+主动运转到细胞内,包括启动H+/K+交换,可见图2(a),K+单向运输(uni-port),见图2(b)或H+-K+共运输(synport),见图2(c)。此外在细菌及酵母质膜中已发现K+-ATP酶,并证实它可启动K+通过质膜运入细胞质,在高等植物中也可能通过这种机理吸收K+


图2 离子通过根细胞质膜主动吸收的可能机理


铁的吸收与膜内的氧化还原系统相联系,并与膜结合的ATP酶作用相偶联,如图3所示。氧化还原系统氧化NAD(P)H→NAD(P)+,利用其所失去的电子在质膜外面一边还原Fe3+为Fe2+,然后Fe2+运入细胞质;H+-ATP酶泵出H+,与Fe2+的运入细胞质相偶联。


液泡内除有H+泵ATP酶能将H+泵入液泡外,还有无机焦磷酸酶,也能将H+泵入液泡中,所以液泡膜具有两种H+泵:H+泵ATP酶和无机焦磷酸酶(图4)。前者以ATP为底物,将H+泵入液泡,启动H+/阳离子反向运输,使阳离子运入液泡,无专一的选择性;后者以无机焦磷酸(PPi)为底物,将H+泵入液泡。同样启动H+/阳离子反向运输。液泡是离子的贮库,所贮备的离子可调节细胞质内离子,使其维持在 一定水平。


图4 K+及Na+内流到根细胞液泡中与液泡膜结合的H+-ATP酶及无机焦磷酸酶作用相偶联


有些试验结果支持H+泵ATP酶系统的观点。1970年J.D.费修尔(Fisher)等人研究大麦、燕麦、小麦和玉米的离体根对K+的吸收与ATP酶活性间的关系,首次证明了K+的吸收与ATP酶活性之间有非常一致的关系(图5)。随着根对K+吸收量的增加,根内ATP酶活性亦增高。根细胞质膜及液泡膜内均有ATP酶,可在电镜制片中观察,如图6。K+对ATP酶有很大的促进作用,如在介质中加入K+,亦促进K+通过膜的运转。


图5 大麦、燕麦、小麦及玉米离体根对K+的吸收(a)及K+对ATP酶活性的促进作用(b)



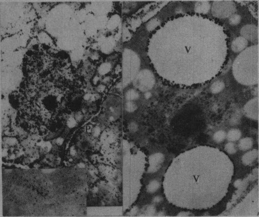
图6 番茄根尖分生区及伸长区细胞中的ATP酶
(筒令成等,1982)


图中黑点为ATP酶;P为质膜;N为细胞核;V为液泡


除H+泵ATP酶学说外,载体(carrier)学说亦颇受到学者普遍关注。一般认为载体是膜内一种类似酶的蛋白质,其分子上有专门结合离子的部位。它促进离子的吸收。细胞膜外侧的载体可与膜外离子形成不稳定的离子—载体复合物,复合物在膜内从膜的外侧向膜的内侧移动,并在膜内侧降解,将离子释放到细胞内,然后载体又恢复原状,又可到膜外侧与膜外离子相结合。载体的作用可与细胞内线粒体的能量供应相偶联。载体可反复利用,少量载体即可运送大量离子。
由于植物对养分的主动吸收需要呼吸作用中形成的ATP作为能源,所以凡是影响呼吸作用的环境因子都影响养分的主动吸收。
随便看

 

离鸟网收录3541549条中英文词条,其功能与新华字典、现代汉语词典、牛津高阶英汉词典等各类中英文词典类似,基本涵盖了全部常用中英文字词句的读音、释义及用法,是语言学习和写作的有利工具。

 

Copyright © 2004-2024 vtrois.com All Rights Reserved
更新时间:2026/4/8 17:06:31