网站首页  词典首页


请输入您要查询的字词:

 

字词 卵巢浆液性肿瘤
类别 中英文字词句释义及详细解析
释义
卵巢浆液性肿瘤

卵巢浆液性肿瘤

卵巢浆液性肿瘤为卵巢生发上皮来源的肿瘤中最常见的一种。
浆液性囊腺瘤 是一种良性肿瘤(图1),占卵巢良性肿瘤的20~40%。多发生于生育年龄,青春期前罕见。一般为单侧性,双侧性者占15%。肿瘤表面光滑,有包膜,平均直径较粘液性囊腺瘤稍小,偶可形成巨大囊肿。囊内多为黄色清亮液体,内壁光滑,常有小的乳头状突起,此种乳头偶可见于囊肿表面,且易种植于腹膜及大网膜上。此瘤一般不伴有腹水。镜下可见囊壁及乳头表面被复排列整齐的单层立方形或低柱状上皮,细胞大小一致,中央有圆形或椭圆形的核。有时可见纤毛上皮或输卵管型上皮。大的肿瘤因囊内液压而使上皮变为扁平。乳头中央有由结缔组织构成的间质,间质内可见圆形的钙化小体,称为砂粒体。并可在X光片上显影。腹膜上种植的肿瘤,组织学上仍是良性。凡单房而囊壁光滑者称为单纯性浆液性囊腺瘤,有乳头状生长者称乳头状浆液性囊腺瘤。后者常为多房性、双侧性。另有囊性腺纤维瘤,为浆液性囊腺瘤的变型,多发于60岁前后,切面实质区较多。镜下乳头粗大,囊壁间质及乳头间质均多,由致密而细胞丰富的结缔组织构成,常伴有水肿及玻璃样变。浆液性囊腺瘤预后良好。

图1 卵巢浆液性乳头状囊腺瘤


交界性浆液性囊腺瘤 是一种在外观上与良性浆液性囊腺瘤无明显区别而在组织学及生物学特性上介于良性与恶性之间的肿瘤(图2)。它可以复发及有大网膜及腹膜种植,但其预后较恶性者好,10年存活率为95%,大体检查,双侧的交界性浆液性囊腺瘤较良性者多见,乳头状物的数目亦较良性者多,有时可穿破包膜达肿瘤表面。镜下可见
❶乳头上皮增生而成上皮簇。
❷上皮细胞呈复层(不超过三层),有轻或中度间变。
❸可见核分裂相,但每高倍视野不超过一个。
❹无肿瘤间质浸润。

图2 卵巢交界性浆液性乳头状囊腺瘤


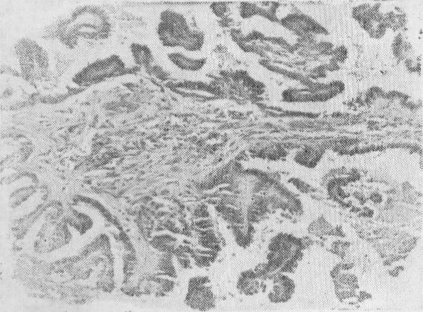
浆液性囊腺癌 是最常见的卵巢恶性肿瘤(图3、4),占全部恶性肿瘤的40~50%,多发于40~60岁,30~50%为双侧性。

图3 卵巢浆液性乳头状囊腺癌(双侧)

图4 卵巢浆液性乳头状囊腺癌


该肿瘤部分囊性,部分为实性。囊内乳头多,囊壁表面亦可有乳头,包膜不完整、肿瘤切面常有出血、坏死,可见血性或混浊的积液。镜下可见囊壁及乳头的被覆上皮明显增生,细胞在中层以上,排列紊乱,极性消失,大小不一致。细胞核大,染色质粗大而分布不匀,有核分裂相。癌细胞浸润间质及包膜。乳头分枝多,可互相融合成实性团块,也可为筛状结构,并可见砂粒体。
浆液性囊腺癌生长快,腹腔内转移发生早,就诊时半数以上已属晚期,5年存活率约为25%。
浆液性肿瘤的诊断和治疗见“卵巢肿瘤”
☚ 卵巢生发上皮来源的肿瘤   卵巢粘液性肿瘤 ☛
00011410
随便看

 

离鸟网收录3541549条中英文词条,其功能与新华字典、现代汉语词典、牛津高阶英汉词典等各类中英文词典类似,基本涵盖了全部常用中英文字词句的读音、释义及用法,是语言学习和写作的有利工具。

 

Copyright © 2004-2024 vtrois.com All Rights Reserved
更新时间:2026/4/9 3:26:42