网站首页  词典首页


请输入您要查询的字词:

 

字词 卵巢颗粒-间质细胞瘤
类别 中英文字词句释义及详细解析
释义
卵巢颗粒-间质细胞瘤

卵巢颗粒-间质细胞瘤

卵巢颗粒-间质细胞瘤是一种特异性性索间质来源的肿瘤,也是一种功能性肿瘤,又称颗粒-泡膜细胞瘤。本组肿瘤包括颗粒细胞及所有单一或混合发生,并有不同分化程度的卵巢间质(卵泡膜细胞、纤维母细胞)来源的肿瘤。可发生于女性各个年龄,约有50%发生于绝经后。它所产生的多量雌激素可以导致一系列临床症状。颗粒细胞瘤可以单独发生,亦可与卵泡膜细胞瘤并存,但多为混合瘤,以颗粒细胞为主者称为颗粒细胞瘤;单纯含卵泡膜细胞者,称为卵泡膜细胞瘤。泡膜细胞是产生雌激素的主要组织。
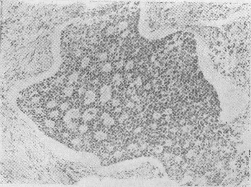
颗粒细胞瘤 是低度恶性的肿瘤,由颗粒细胞组成。大多为单侧性,双侧性者约占5%,肿瘤呈实质,有包膜,晚期可以穿破包膜,切面灰黄色,血管丰富,有时可见有小囊腔、退变或出血区域,触之有海绵感。镜下可见肿瘤由类似卵泡的颗粒细胞构成,排列成大、小卵泡型、腺瘤样型、脑回型、弥漫型等各种形态,以卵泡型最多见。分化好的瘤细胞为胞浆浅染的小多角细胞,大小较一致,细胞核呈圆形,卵圆形或豆形,深染,有时可见与长轴一致的核沟。在卵泡型中可见卡-爱(Call-Exner)小体,它是由颗粒细胞组成的圆形菊花团样结构,中心的空腔内可有嗜酸性液,并可见1~2个退变的裸核,瘤细胞的各型对预后的关系不大,但细胞的分化程度与预后可能有一定的关系。(图1)

图1 卵巢颗粒细胞瘤


颗粒细胞瘤有分泌雌激素的作用,因此可在不同的年龄产生不同的症状。发生在青春期前者可以引起性早熟;发生在生育年龄可导致月经紊乱,表现为月经量过多及不规则出血或闭经,但也可能无月经变化;发生在绝经后者则几乎都引起子宫出血,子宫亦可增大。肿瘤所产生的大量雌激素可在生育年龄及绝经后引起子宫内膜增生过长,或使绝经后妇女阴道粘膜角化。子宫内膜腺癌的发生率明显增加。
对颗粒细胞瘤的治疗,一般作全子宫及双侧附件切除术,总的五年生存率在50%以上,Ⅰ期患者治疗后复发率约为5~10%,且往往在治疗五年以后,甚至迟至20年后复发,故应长期随访。
卵泡膜细胞瘤 卵巢卵泡膜细胞瘤仅含卵泡膜细胞,其平均发病年龄高于颗粒细胞瘤,也具有分泌雌激素的功能故在临床上难以与颗粒细胞瘤区别。
卵泡膜细胞瘤因含有更多的纤维组织而较颗粒细胞为硬。此瘤为单侧,体积较小,表面光滑、有包膜。切面淡黄色,有编织样结构似纤维瘤。镜下可见瘤细胞呈短梭形,胞浆较多,含有脂质颗粒(图2),细胞排列呈束状或旋涡状,有时可见黄素化的细胞群。此瘤须用脂肪染色与纤维瘤鉴别。卵泡膜细胞瘤又可因胞浆内无林克氏类晶体(Crystalloid of Reinke)而可与门细胞瘤鉴别。卵泡膜细胞瘤极少恶变,恶性者常浸润相邻组织,并有远处转移,镜下见细胞密集,有多形性,失去典型的泡膜细胞结构,易见核分裂。

图2 卵巢卵泡膜细胞瘤


卵泡膜细胞瘤的治疗是以手术为主,如有恶性的患者,其治疗见“卵巢肿瘤”。
☚ 卵巢特异性性索-间质来源的肿瘤   卵巢支持-间质细胞瘤 ☛
00011416
随便看

 

离鸟网收录3541549条中英文词条,其功能与新华字典、现代汉语词典、牛津高阶英汉词典等各类中英文词典类似,基本涵盖了全部常用中英文字词句的读音、释义及用法,是语言学习和写作的有利工具。

 

Copyright © 2004-2024 vtrois.com All Rights Reserved
更新时间:2026/4/9 12:30:57