网站首页  词典首页


请输入您要查询的字词:

 

字词 实验免疫性肾脏病
类别 中英文字词句释义及详细解析
释义
实验免疫性肾脏病

实验免疫性肾脏病

实验免疫性肾脏病是通过免疫反应使不同种类的动物产生肾脏疾病(主要是肾小球肾炎),藉以探讨肾脏病的发病机理和防治原则的一门科学。较成熟的实验免疫性肾脏病有如下几种:

实验免疫性肾炎

模型名称致病机理实验动物
Masugi肾炎
(马杉肾炎)
(肾毒性肾炎)
(抗肾小球基膜型肾炎)
异种抗肾小球基膜抗体
与肾小球基膜结合,激
活补体而致病
大白鼠
家兔
血清病肾炎异种血清白蛋白与机体
产生的相应抗体结合成
可溶性免疫复合物,沉
积于肾小球基膜、激活
补体而致病
家兔
Heymann肾炎腹腔内注射自体或同种
肾匀浆后,与机体产生
的相应抗体结合成自体
免疫复合物,在肾小球
基膜沉积而致病
大白鼠
糖蛋白肾炎肾小球基膜的“致肾炎
糖苷”引起的免疫反应
性肾炎,免疫荧光检查
呈“系膜型”
大白鼠
肾小管-间质性肾炎牛肾小管基膜免疫大白
鼠,产生抗体而引起病
大白鼠

Masugi肾炎 又称肾毒性肾炎、抗肾小球基膜型肾炎,这是由异种抗肾小球基膜抗体引起的肾小球肾炎。经典的Masugi肾炎,是将灌洗过的大白鼠肾皮质匀浆反复多次免疫家兔,使家兔产生抗大白鼠肾小球基膜抗体、然后将这种含有抗体的家兔血清静脉注射给健康大白鼠,使后者产生增殖性肾小球肾炎。此外也可用家兔肾皮质匀浆免疫鸭,使鸭产生抗家兔肾小球基膜抗体,健康家兔接受这种抗血清注射后,也产生肾小球肾炎。目前多用灌洗后的兔肾皮质匀浆与完全弗氏佐剂 (Freund’sadjuvant)混匀后,反复数次免疫绵羊,产生羊抗兔肾抗体血清,用此血清给健康家兔一次静脉注射而产生肾小球肾炎。
致肾炎的抗原系肾小球基膜。这种肾炎的发病过程经历两个阶段;第一阶段称为急性时相或异种抗体时相,第二阶段称为延缓时相或自身抗体时相。
异种抗肾血清进入受者血循环后,迅即开始了急性时相的变化。一般在注射抗肾血清后半小时内,大部分抗体逸出血循环、与抗原(受者肾小球基膜)结合,并在该处沉积下来,吸附并激活补体,吸引白细胞,使基膜遭受破坏,通透性增强,产生蛋白尿,导致这一阶段的一过性肾小球病变。
当异种抗肾血清进入受者血循环后,经过3~5天,受者又产生抗异种血清球蛋白的抗体。这就是延缓时相或自身抗体时相的开始。抗异种血清球蛋白抗体随血循环流经肾小球时,即与第一时相沉积在肾小球基膜上的异种抗体结合,导致这一阶段的病变,产生持续较久的蛋白尿,有的发展成慢性肾炎尿毒症。但一部分动物在经过几星期以后获得临床痊愈。
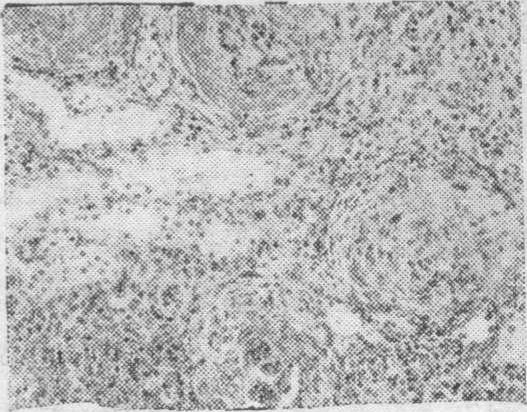
病肾的急性期病变主要为增殖性肾炎,伴有蛋白质渗出(图1)。数周后肾小球内新月体形成(图2),逐渐发展为整个小球纤维化及玻璃样变(图3)。电镜检查肾小球基膜增厚、破裂,沿肾小球基膜内皮细胞下有电子致密物沉积(图4)。免疫荧光检查肾小球及部分肾小管基膜上有免疫球蛋白(在第一阶段只有异体的,第二阶段又加上自体的)及补体,有时还有纤维蛋白原呈均匀的线条状沉积。


图1肾小球肿胀,内皮细胞及系膜细胞增生(H. E.×500)


图2肾小球毛细血管壁变性坏死,大量纤维素渗出,沉积于肾小囊 (H.E.×500)


图3肾小球结构破坏,呈严重的硬化表现,肾小管萎缩,肾间质可见炎症细胞呈灶状浸润 (H.E.×200)


图4肾小球毛细血管基膜破坏,内皮下电子致密物沉积 (EN: 内皮细胞,BM: 毛细血管基膜,FP:上皮细胞足突,CL:毛细血管腔,D: 电子致密物)(电镜× 20,000)


血清病肾炎 血清病肾炎是给动物注射异种血清白蛋白所引起的病变,分急性与慢性两种,产生的肾脏病变均属免疫复合物型肾小球肾炎。
急性血清病: 给家兔一次静脉注射大量 (250mg/kg)牛血清白蛋白后,家兔产生抗牛血清白蛋白抗体。如抗原稍多于抗体,即在血循环中形成可溶性抗原-抗体复合物即免疫复合物。当这种复合物流经肾脏时,激活补体、释放过敏毒素,增强肾小球基膜通透性,使复合物通过基膜内皮细胞,但因其分子量较大,不能通过肾小球毛细血管上皮细胞裂隙,因而在肾小球基膜上皮细胞下滞留沉积,引起肾炎,产生蛋白尿。由于注射牛血清白蛋白6~7d后家兔才产生抗体,故免疫复合物损害只在第二周左右才出现,持续5~10 d即消失。肾小球呈膜性病变。电镜检查在肾小球毛细血管上皮细胞下沿基膜有电子致密物(免疫复合物)沉积。免疫荧光检查可见肾小球基膜上有免疫球蛋白、C3呈颗粒状或团块状沉积。急性血清病除肾脏病变外,可同时有关节、心脏、肝脏损害。
慢性血清病: 给家兔每天注射小量 (12.5~25mg/d)牛血清白蛋白,11/2~3个月后家兔产生慢性血清病,表现为浮肿、蛋白尿、低血浆白蛋白、高血脂和氮质血症。肾脏病变多为膜型。
Heymann肾炎 这是一种由Heymann等 (1959)制作成功的自身免疫性抗原抗体复合物型肾炎。
用Spraque-Dawley大白鼠肾皮质的生理盐水提取液加完全弗氏佐剂,给健康的同种大白鼠腹腔内注射。或将大白鼠作一侧肾切除,数周后用切除肾同样作腹腔内注射,每两周一次。注射3~6次后,受者产生蛋白尿、低蛋白血症和高脂血症。病理特点为肾小球基膜增厚,偶有新月体形成。电镜示肾小球毛细血管上皮细胞下沿基膜有电子致密物(免疫复合物)沉积。免疫荧光检查沿肾小球毛细血管壁有受者的γ球蛋白和C3呈颗粒状沉积,产生这种肾炎的抗原是近端肾小管刷状缘的脂蛋白,用以免疫大白鼠后,产生相应的抗体。由于正常大白鼠血清中含有大量与外来抗原具有交叉免疫反应的抗原物质,此时即与抗体产生免疫反应,在循环中形成大量可溶性免疫复合物,结合并激活补体。当这种免疫复合物流经肾脏时,在肾小球基膜上滞留沉积而产生肾小球病变。由于动物产生的抗体也针对正常状态下自体内存在的抗原,因此这种肾炎是一种自身免疫复合物型肾炎。
☚ 肾小球疾病的发病机理   肾小球疾病的病理分型 ☛
00016770
随便看

 

离鸟网收录3541549条中英文词条,其功能与新华字典、现代汉语词典、牛津高阶英汉词典等各类中英文词典类似,基本涵盖了全部常用中英文字词句的读音、释义及用法,是语言学习和写作的有利工具。

 

Copyright © 2004-2024 vtrois.com All Rights Reserved
更新时间:2026/4/6 18:17:48