网站首页  词典首页


请输入您要查询的字词:

 

字词 心脏
类别 中英文字词句释义及详细解析
释义

心脏xīnzàng

❶人和高等动物体内推动血液循环的器官。
❷比喻中心或重要部位
 △ 北京是祖国的~。

心脏xīn zàng

比喻中心。如:首都北京是祖国的心脏。

心脏xīn zàng

❶ 心。1903年汪荣宝等《新尔雅·释生理》:“心脏、动脉、静脉及巴淋管,为血管系统。”1919年汤尔和译《诊断学》下卷:“虽无血管硬化症,而脑动脉与心脏之冠状动脉及肾动脉均极硬变者,故当脑出血时,必诊查动脉硬化症所常兼发之心脏变化,不可忽也。”
❷ 比喻中心。1950年1月《中国工业》新1卷第9期:“重工业比消费品生产成长得更迅速,尤其是重工业的心脏——机器制造业,更扮演着重要角色。”1955年2月《无线电》第2期:“公共振荡器是分集式收信机的心脏,振荡不稳,收信机输出会变动,甚至收不到信,要经常调整。”

心脏【同义】总目录


守灵心脏

寸田/天君/中君/幽关/灵府/灵台/心地/心海/思之官/四居室/君主之官/神的恩惠/循环器官/人体禁区/人体的太阳/生命发动机/自动节律器/生命的殿堂/生命的中心/灵魂的密室/灵魂的居所/七情六欲的栖居地/最先和最后的器官

☚ 水箱   寸田 ☛
循环器官

循环器官

心脏:心(心腑;~房;~室;~肌;~包;~尖) 火宫 火脏 黄中
道家称心:上玄 丹元 玄丹 血海
血管:脉(脉管;血脉;动~)
静脉:筋(筋脉)
皮肤下面可见的静脉:青筋(~突起)
流通的血管:贯脉
人体内气血运行的通道:经(经络;经脉)

☚ 器官1   呼吸器官 ☛

主要部分

主要部分

主(~力;~脑;~导;主体;主干;~从) 元(元本) 体骨 正体 根体 重心 中心 大端 大处(~着眼) 核心 大头 菑畬基本 根本 鸿纲
物体的主要部分:
中心部分:核(核心) 枢(中枢) 心脏
贯串事物的中心:轴(轴心)
枢要中心:枢中
关键,中心:枢括
事物的根本和要害:根节
重要的部分:要(要点;~害;要端;提~) 干(~线;基干;主干;骨干) 中坚 大纲 鸿纲 重点 要害 机衡 管钥 襟冕 诀窍
中心,重点:基点
重要或中心的部分:枢(中枢;要枢) 心腹(~之患) 骨髓 轴心
考虑问题的基点:出发点

☚ 一部分   精华 ☛

地区

地区

地 境 国(南~) 路(外~)壤(僻~;疆~) 方(~言;~外) 邦 地域 阃阈
作为某种事业基础的地区:基地
中央以下各级行政区划的统称:地方(~工业)
地区内部:内地
地区中间:中(滇~;吴~;汉~)
按历史、地理、语言等划分的大地区:地域 阃阈
统治地区:鸿罗
皇帝的统治地区:龙舆
海内外广大地区:薄海
面积较大的平坦地区:
较大地区内划分的较小地区:片(分~)
具有某种性质或范围的一片地区:带(地带;热~;黄河~;冻土~)
中心地带:心脏
多山的地带:山地 山陆
靠近中心的地区:腹地 腹里 奥区 奥壤
京师附近的地区:畿服
长江中下游及东南沿海地区:东南半壁 半壁东南
多山的地区:山区 山乡
偏僻的山区:山圪塔 山旮旯子
多山的国家或地区:山国
偏远的山区:山窝(山窝窝)
荒凉的边远山区:魅乡
多雪的地区:雪乡
农村地区:
四方边境地区:四境 四边
四极,四境:四旁
北方边境地区:北垂 北陲 北鄙
北方边塞地区:雁碛
极远的边塞地区:绝塞
疆域,境内的地区:境域 境壤 区宇 界域
所居的界域:宅道
道路狭隘队伍展不开的地区:隘形
两边高峻的狭窄地区:
发生地震的地区:震区
不接受上级领导的地区、单位或组织:独立王国 一统天下
地域相接:邻(邻境) 连圻
(较大范围的地方:地区)

另见:城市 机构 地方 各地

☚ 地区   区域 ☛
心脏

心脏

象征要害部位。

☚ 肝胆   头脑 ☛

心脏heart

血液循环的动力器官。哺乳类的心脏内部以房室间隔分为左右两半,两半又以房室口及瓣膜共分为左心房、左心室和右心房、右心室四个腔。动脉由心室起始,静脉通入心房。由于心脏的节律性舒缩所引起的压力差,决定了血液和淋巴循环,将血液射入动脉,同时将静脉内的血液和淋巴管内的淋巴引回入心房。
组织结构 心壁主要由心肌构成。其内层为心内膜,并与出入心的大血管内膜相连续,外层为心外膜,即心包膜的脏层。心内膜衬于心房、心室及心瓣膜腔面,薄而光滑,通常由内皮、内皮下层和心内膜下层组成。心内膜下层由疏松结缔组织构成,内含血管、神经和心脏传导系的分支——浦肯野纤维。心肌层以心房较薄,心室较厚. 尤以左心室最厚。心房肌与心室肌被环绕房室口的纤维环分隔为两个独立的肌系,以保证心房和心室的舒缩协调而互不影响,心房肌分浅、深两层,浅层为两心房共有,深层为两心房所固有,呈襻状围绕心房。 心室肌分三层肌束; 㳀肌束自纤维环和纤维三角斜向心尖,在心尖捻转形成心涡后即进入深层,经室间隔上升延续于对侧心室的乳头肌和纵行的深肌束; 中间肌束环行,为两室所固有。心肌纤维间分布有结缔组织、血管、淋巴管和神经。
结缔组织支架 为心房肌和心室肌及瓣膜的附着处。包括: ❶纤维环。由胶原纤维和少量弹性纤维组成,环绕左、右房室口和主动脉、肺动脉口;
❷纤维三角。位于两房室口与主动脉口之间,猫、猪为致密结缔组织,狗为纤维软骨,马为透明软骨,大反刍动物为骨;
❸室间隔膜部。由胶原纤维束组成,似腱膜结构。


心传导系模式图


a.右心房; b.左心房;
c.右心室; d.左心室


传导系 由特殊的心肌纤维构成,能自发产生和传导兴奋,维持正常心搏动的节律性。包括窦房结、房室结、房室束和浦肯野纤维。窦房结是心跳的起搏点,位于前腔静脉和右心耳间的界沟内,由薄而分支的结细胞网构成,被富有含血管的结缔组织隔开,内含许多交感和副交感神经纤维及神经节细胞,它们与心房的普通心肌纤维相连。房室结位于右心房冠状窦口附近,在房间隔的心内膜下,由排列不规则的小分支结细胞构成,与心房肌纤维及房室束的浦肯野纤维相连续。房室束沿室间隔膜部向下,分为左、右两脚,沿室间隔两侧的心内膜向下延伸,并通过隔缘肉柱(节制索)至乳头肌根部分散为浦肯野纤维,彼此交织成网分布于心室壁与普通心肌相接;左脚还分出隔支至室间隔。房室束、左右脚和浦肯野纤维有一薄层纤维鞘包裹,有蹄类此鞘较发达。传导系的疾患可导致心室的搏动失调或心房和心室的收缩节律紊乱。
心脏

心脏xinzang

推动血液循环的心肌性中空器官。正常成人的心脏略大于拳头,重约 300克,略呈圆锥形,位于膈上两肺之间,略偏于左侧 ,心尖位于左下方。心脏分左、右心房和左、右心室四个腔,分别以房间隔和室间隔分开,左右 互不相通。右心房接受上下腔静脉回流的静脉血,并 将其引入右心室。右心室将血泵入肺动脉。左心房接受肺静脉的氧合血液,并将其导入左心室。左心室壁比右心室壁厚3倍,将血推送至全身器官。为了保证血液定向流动,心脏内有左、右房室瓣和左、右半月瓣。左侧房室瓣为二尖瓣,右侧为三尖瓣。左侧半月瓣为主动脉瓣,在左心室和主动脉的接合处。右侧为肺动脉瓣,位于右室和肺动脉的接合处。心脏瓣 膜闭合时产生心音,房室瓣关闭产生第一心音,半月瓣关闭产生第二心音。心室壁肌肉和大血管的振动参与心音的形成。心肌具有自身节律性收缩的性能。心内有特殊的传导系统(包括窦房结和房室结,希氏束及蒲肯野氏纤维),心肌细胞膜内外离子分布不同 ,产生跨膜电位。任何增加细胞膜通透性的因素,均 可使内外离子浓度发生改变,产生电位变化,称为动作电位。窦房结具有自发地产生动作电位的能力,是心脏的起搏器。窦房结所形成的冲动沿传导系统下传,产生电流,这种电流传至体表面,在体表面任意两点形成电位差,随着心脏有规律的搏动,产生一系列的电活动,用仪器记录成连续的曲线即称为心电图。近期研究证明心脏还具有内分泌功能,如分泌心钠素等,对心血管系统的功能调节起重要作用。

☚ 骨髓涂片检查   心动周期 ☛
心脏

心脏xinzang

血液循环的动力器官。心脏(图1、2) 位于胸腔内,膈肌上方,两肺之间,前面是胸骨和肋骨,后面是食道和脊柱。它的大小似本人的拳头,形状似桃子,尖向下端偏左称心尖,底朝上偏右称心底。心底部有动静脉出入,活动度小,心尖不受牵连,活动度大。心脏(图3)为一中空的肌性器官,由中膈分为不相通的左右两半,若有异常通道,就形成某种先天性心脏病。每半侧又横分为上下两个腔,上面较小的叫心房,下面较大的叫心室,心房和心室有房室口相通。在房室口边缘附有瓣膜,这些瓣膜如同阀门,能自动地向心室开放,让血液由心房流入心室而不许返流。当患风湿性心脏病时,心脏瓣膜会发生病变而影响血液循环的正常进行。右心房与上、下腔静脉连通,右心室与肺动脉连通,左心房与肺静脉连通,左心室与主动脉连通。在主动脉和肺动脉的根部腔面,分别有三个袋状的瓣膜,它们也像阀门,防止血液由动脉返回心室。组成心脏的心肌细胞有收缩性,心脏的收缩和舒张则是因为这些心肌细胞工作的结果,好比水泵的一压一放,使血液不断由心脏排入动脉,又不断从静脉回到心脏。有些心肌细胞失去原有的收缩性特化成心脏的特殊传导系,包括窦房结、结间束、房室交界区、房室束及浦肯野氏纤维。窦房结可以发布心跳的 “命令”,沿特殊传导系传到整个心脏,心脏则按“命令”跳动。心脏本身的氧气和氧料由冠状动脉供应,一旦冠状动脉因病变梗塞,心肌血液供应减少,可以引起心肌梗塞,心绞痛等疾病。


图1 心脏位置


图2 心脏的前面


图3 心脏内部的构造

☚ 循环系统   心动周期 ☛

心脏heart

系中空的肌性器官。大小相当于自己手拳大,为血管系统的中枢。心脏位于胸腔内,左、右两肺之间。横膈的上方,前纵隔的下部,周围包有心包。约2/3在身体中线的左侧,1/3在右侧。心的两侧及前面大部分均被肺和胸膜遮盖;前面只有一小部分邻接胸骨和肋软骨;后面有食管、迷走神经及胸主动脉等;上方连有心脏的大血管。心脏前、后略扁呈倒置的圆锥体。底较宽朝向右后上方,尖向左前下方,因此心轴是斜的,且呈轻度扭转。右房、室大部在前面,左房、室大部在后面。心尖游离,心底发出粗大的血管干。心脏分为前、后两面;左、右两缘。两面为:前面在胸骨体和肋软骨的后方,称胸肋面;后面向下,贴附在膈上,称膈面。两缘为:右缘锐利,左缘钝圆。在心脏表面,近于心底处有横位的冠状沟,分隔心房和心室。在心的前后面上,有前室间沟和后室间沟,为左、右心室表面上的分界。心脏在神经的支配下不断地舒、缩,完成全身的血液循环。心脏的位置可因年龄、体质、性别、呼吸运动等有很大的变化。心脏自身有独特而自主的兴奋传导系统。心脏疾病以心肌、心内膜、心血管、心传导系疾病为多见,发病率高且重要。

心脏

心脏Xinzang

位于胸腔正中偏左,两肺之间,主要由心肌组织构成,并有瓣膜结构的中空器官。含有两心房、两心室四个腔。左、右心房和左、右心室之间有中膈,彼此互不相通。每侧心房、心室之间有瓣膜,称为房室瓣。其中左房室瓣又叫二尖瓣,左房室瓣又叫三尖瓣。心脏各腔分别与血管相连:左心房与肺静脉;右心房与上、下腔静脉;左心室与主动脉;右心室与肺动脉;心室与动脉之间有半月瓣。心脏瓣膜的作用是使血液按一定方向流动,不能倒流。即心脏内血液只能从静脉流入心房,再从心房到心室,从心室流入动脉。

1.左心房 2.主动脉弓 3.上腔静脉4.下腔静脉 5.右心房 6.右心室7.肺动脉 8.肺静脉 9.左心房10.二尖瓣 11.三尖瓣 12.半月瓣

心脏结构及周围血管(箭头表示血流方向)


左房室内是来自肺部含氧多的血液,称动脉血;右房室内是含氧低的静脉血。中膈使动、静脉血不相混合,还使心脏泵出的血液分为两部分:一部分参与肺循环,另一部分参与体循环。某些先天性心脏病,是由于中膈愈合不全造成的。心脏自身的营养由冠状动脉提供,它由主动脉根部发出,产生病变(如痉挛或形成血栓)可引起心脏局部供血不足,造成心绞病,严重时发生心肌梗塞,甚至死亡。心肌与骨骼肌不同,具有自动节律性,但并非所有的心肌细胞都具有自动节律性。心脏有节律地收缩和舒张,决定于心脏的特殊传导系统,是由一些特化的心肌细胞构成,包括窦房结,房室结,房室束及其分支,浦肯野氏纤维等。其中窦房结的兴奋性最高,成为心脏的起搏点。正常成人安静时心率为60—80次/分,也叫窦性心率。超过100次/分,为心率过速;低于60次/分为心率过缓。如果心脏传导系统出现异常,将引起心率不齐。

1.上腔静脉 2.窦房结 3.房室结4.右心房 5.右心室 6.左心房7.房室束 8.房室束左、右分支9.左心室 10.浦肯野氏纤维

心脏的特殊传导系统(1 2 3表示传导顺序)


心音主要是由心脏瓣膜关闭时发生振动形成的,心脏进行一次收缩和舒张过程中,可以听到两个心音。即第一心音和第二心音,它们分别由房室瓣和半月瓣关闭造成。当心瓣膜异常时(如充血、肿胀),常可听到正常心音之外有杂音。心电图是在人体体表记录到的心脏生物电变化,它是检查心脏机能状态的一个指标。心音和心电图在临床诊断中,具有一定参考价值。
☚ 血凝和止血   血管 ☛

心脏

推动血液循环的肌性器官。位于胸腔内,在左右两肺之间,周围有心包。内有两个心房,中间为房间隔,两个心室,中间为室间隔。左房室口有二尖瓣,右房室口有三尖瓣,使血液呈单向流动。由于心肌节律性收缩,使静脉血从右心房进入右心室,通过肺进行气体交换以后变成动脉血,进入左心房再到左心室,然后运送到机体各部的动脉血管。

心脏

心脏

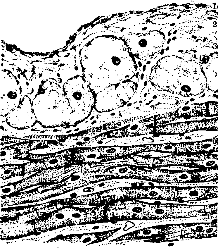
心脏是高度特化的一段循环管道,能自发进行有节律的舒缩活动,以推送血液在血管中环流不息。心脏由三层膜组成,内层相当于血管的内膜,称心内膜; 中层相当于血管的中膜,称心肌膜,此层特别发达,是构成心脏的主要部分;外层相当于血管的外膜,称心外膜,表面被覆心包脏层。心脏壁有由致密结缔组织构成的支架,称心骨胳。心骨胳包括室间隔膜部、纤维三角和纤维环。心房和心室的心肌分别附着于纤维环的上面和下面,这两部分心肌不直接相连,由特殊心肌细胞组成的心脏传导系(参见“心脏传导系”条)联系。
心脏的结构 心脏壁由腔面向外分三层。
❶心内膜:内皮位于腔面,与大血管的内皮相似并相连,位于薄层基板上。内皮外为内皮下层,它分内外二层:内层为较致密的结缔组织;外层与心肌膜相连,常称心内膜下层,是较疏松的结缔组织,其中含小血管和神经,在心室的此层中,还布有心脏传导系的Purkinje纤维(图1)(参见“心脏传导系”条)。乳头肌和腱索没有心内膜下层;
❷心肌膜:此层构成心脏的主体,由心肌组成。心房的心肌薄,左心室的心肌最厚。心肌分层或成束,包埋在结缔组织中,富有毛细血管。在心房,肌束成网格状,呈许多栉状的嵴,称梳状肌,凸向腔面。肌束间的结缔组织与心内膜和心外膜的结缔组织相连。心室的心肌呈螺旋状环绕,分数层。浅层心肌环绕两个心室;深层各环绕一个心室,并在两心室间形成室间隔。两心房间也由心肌构成类似的房间隔。心房的肌纤维较小,含许多化学成分不明的颗粒,T小管系统少或无,有较多的缝隙连接。这些特点或许与其传导速率较快和内在节律更强有关。心肌纤维间的结缔组织中有较多的成纤维细胞,在心肌损伤进行修复时大量增加,形成瘢痕组织。心肌纤维本身的再生能力很低;
❸心外膜:是心脏的外层,成自结缔组织,表面被覆间皮(图2)。深层结缔组织含较多的弹性纤维、血管和神经,常含脂肪细胞,称心外膜下层。心房的心外膜下层,尤其在冠状血管周围和心房心室交界附近,脂肪组织很多。心外膜也称心包脏层。心包壁层由两层组成,它的腔面为间皮,其外为致密结缔组织组成的厚囊,含弹性纤维和胶原纤维,成纤维细胞和巨噬细胞。心包壁层的间皮和心外膜的间皮相连,使心包腔面光滑湿润。心包腔含少量液体,在心脏收缩和舒张时壁层和脏层可自由滑动。

图1 心内膜和心肌膜

1.内皮 2.内皮下层 3.心内膜下层 4. Purkinje纤维 5.心肌 6.结缔组织

图2 心肌膜和心外膜

1.结缔组织 2.心肌膜 3.毛细血管 4.小静脉 5.小动脉 6.脂肪细胞 7.间皮


心骨胳 心骨胳为心脏壁的支架组织,也是心肌和心瓣膜的附着处,由致密结缔组织构成。心骨胳包括室间隔膜部、纤维三角及环绕房室孔和动脉口的纤维环。房室孔周围的纤维环还含弹性纤维和脂肪细胞。室间隔膜部的构造象腱膜,其内的胶原纤维分层,排列很规则。纤维三角中常有块状的软骨样组织,其中的细胞呈球形,象软骨细胞,细胞间质也显嗜碱性。在不同个体和不同年龄,心骨胳的构造有差异,老年时可钙化或骨化。
心瓣膜 为心脏的房室孔和动脉口处由内膜折叠成的瓣膜。瓣膜表面被覆内皮,中心为致密结缔组织,基部与纤维环相连。瓣膜近基部含少许平滑肌和弹性纤维。瓣的游离缘由腱索(纤维索)与乳头肌相连,以防心室收缩血压升高时瓣膜反转。主动脉和肺动脉半月瓣游离缘的中点有小卵圆形的加厚部,名小结。半月瓣向动脉的一面,内有较多的胶原纤维和弹性纤维起加强作用,以承受瓣膜关闭时逆流的血液。主动脉瓣和肺动脉瓣正常时没有血管。房室间的二尖瓣和三尖瓣可有小血管,但不到瓣膜的游离缘。心瓣膜中一般没有淋巴管,也未见神经。
心脏的血管、淋巴管和神经 营养心脏的血液由两支冠状动脉供应。两支血管分布的个体差异甚大。窦房结全由右冠状动脉分支供应的约占70%;全由左冠状动脉供应的很少; 少数由左右两支共同供应。左冠状动脉的供血量一般比右冠状动脉大得多,这同左心负荷大且肌组织丰厚是一致的。冠状动脉的分支由心外膜进入心肌膜,在肌纤维间形成丰富的毛细血管网。这些毛细血管汇成心静脉,经冠状窦入右心房,有一部分血液经几条小静脉直接导入右心房,这几条小静脉称心最小静脉(也名Thebesius静脉)。冠状动脉末端分支间有些吻合支,但甚小。如冠状动脉的一个主要分支阻塞,经吻合支通过的血流不足以供应该区的心肌,致使受损害区的心肌退化死亡。房室瓣的致密结缔组织中很少或没有血管,各瓣膜内皮下层的血液供应也不相同,二尖瓣的尖部比其它瓣膜丰富,幼年时比成年丰富。心脏传导系,尤其是窦房结和房室结,都有专支血管分布,血液供应丰富。心肌毛细血管的构造与骨胳肌的相似,但通透性比骨胳肌的大。心脏的淋巴管分三组: 较大的淋巴管与血管一同分布于心脏外面的沟中,回流淋巴到主动脉弓下和气管分支处的淋巴结; 心外膜结缔组织内的淋巴管; 心肌膜和心内膜淋巴管。心肌膜淋巴管丰富。毛细淋巴管起始于心肌纤维周围和心内膜,与心外膜的毛细淋巴管相通。心外膜的淋巴管再通入心脏表面的淋巴管。
心脏有交感和迷走神经。许多有髓和无髓神经纤维在心脏各层中成丛。迷走传出纤维先与心脏壁散在的副交感神经节细胞(大多位于心外膜深层)形成突触。这些细胞发出无髓节后纤维,分成串珠状末梢止于心肌纤维。心房的心肌还见类似运动终板状的末梢。心室的心肌中只见许多游离末梢,与心肌纤维相隔20nm,局部未见特化的结构。感觉神经纤维源于迷走神经节和胸1~4脊神经节细胞,在心内膜和心肌膜中形成游离末梢。窦房结、房室结和房室束有丰富的交感和副交感神经,其附近常见小神经节或神经节细胞。
☚ 微血管   心脏传导系 ☛
心脏

心脏heart

主要由心肌构成,是循环系统的中枢。它的收缩和舒张是推动血液循环的动力,其解剖生理特点是:
❶心壁:分3层,内层为心内膜,由内皮细胞和结缔组织构成;中层为心肌,最厚;外层为心外膜,即心包的脏层(内层),其与心包的壁层(外层)之间有心包腔,内含少量浆液。
❷心肌和心腔:心脏由心肌分隔成左右心房和心室4个腔。构成心房的心肌较薄,有深浅两层肌纤维。浅层沿心房的横径共同包绕左、右心房,并深入房间隔;深层分别包绕左、右心房。构成心室的心肌较厚,其中左心室更厚,也有深浅两层纤维,交错排列以适合心脏的排血。当全部肌纤维同时收缩时,使心内径缩小,压力增加,将血液射入血管。心脏收缩时乳头肌缩短,腱索绷紧,房室瓣不致因心室腔内压力增大而被冲开,保证血液沿一个方向向前流动。构成心房和心室的心肌以及主动脉和肺动脉均附着于心脏的中心纤维支架上,这个支架由四个厚结缔组织环(位于左、右房室口和主动脉、肺动脉口的周围)、两个纤维三角(位于左房室口与主动脉口之间的左右侧)和漏斗腱连结组成。
❸起搏与传导系统:由特殊的心肌细胞组成,包房结、房间束、结间束、房室结、房室束、左右束支及其分支和普肯耶纤维网,是心脏发出冲动、并将冲动迅速传到普通心肌使之兴奋而收缩的结构。本系统能够按时发出冲动,是心脏自律性的物质基础。其中窦房结具有最强的自律性,含有最多的起搏细胞。
❹心脏的血供:左、右冠状动脉是供给心脏营养的血管,分别起源于主动脉根部的左、右主动脉窦,其大分支分布在心肌表面,小分支进入心肌经毛细血管网汇集成心脏静脉,最后形成冠状静脉窦,进入右心房。

☚ 心电学   心包 ☛

心脏

❶heart
❷center
一个人有动脉、静脉,通过~进行血液循环。A man has arteries and veins through which the heart circulates blood./北京是祖国的~。Beijing is the center (or heart)of our motherland./~地带heartland /~肥大cardiomegalia/~畸形heart malformation/~起搏器(cardiac)pacemaker/~停止跳动the heart stops beating; cardiac arrest /~移植 heart transplant

随便看

 

离鸟网收录3541549条中英文词条,其功能与新华字典、现代汉语词典、牛津高阶英汉词典等各类中英文词典类似,基本涵盖了全部常用中英文字词句的读音、释义及用法,是语言学习和写作的有利工具。

 

Copyright © 2004-2024 vtrois.com All Rights Reserved
更新时间:2026/4/7 22:51:55